Cancer Tissue Gallery- GTX639924

GPX2 antibody [HMV301] HistoMAXTM

 

Go to Normal Tissue Gallery
  
 Go back to product page
  

Go to HistoMAX page

 

Adrenal gland – GPX2 negative adrenocortical adenoma

Adrenal gland – GPX2 negative pheochromocytoma

Breast – GPX2 negative invasive breast cancer of no special type (NST)

Breast – GPX2 negative invasive lobular breast cancer

       

Colon – Colorectal adenocarcinoma showing an intense, cytoplasmic and nuclear GPX2 staining of tumor cells

Colon – Colorectal adenocarcinoma with strong, cytoplasmic and nuclear GPX2 staining of tumor cells

Esophagus – Adenocarcinoma with strong cytoplasmic and nuclear GPX2 staining of tumor cells

Esophagus – Squamous cell carcinoma with moderate to strong cytoplasmic and nuclear GPX2 staining of all tumor cells

       

Kidney – GPX2 negative clear cell carcinoma

Kidney – GPX2 negative papillary renal cell carcinoma

Larynx – Squamous cell carcinoma showing intense, cytoplasmic and nuclear GPX2 staining of tumor cells

Liver – Cholangiocellular carcinoma with strong GPX2 staining of _ 90_ tumor cells

       

Liver – Hepatocellular carcinoma with moderate GPX2 immunostaining of tumor cells

Lung – Adenocarcinoma with strong GPX2 staining of all tumor cells

Lymph node – GPX2 negative Hodgkin’s lymphoma

Oral cavity – Squamous cell carcinoma with very intense, cytoplasmic and nuclear GPX2 staining of tumor cells

       

Ovary – Brenner tumor with strong GPX2 staining of tumor cell nests

Ovary – GPX2 negative clear cell carcinoma

Ovary – GPX2 negative serous high-grade carcinoma

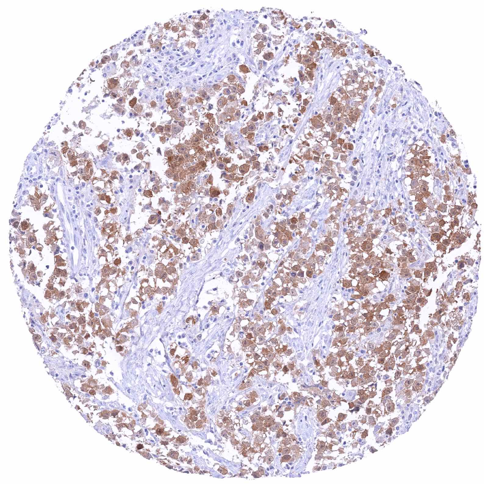
Pancreas – Ductal adenocarcinoma with intense GPX2 positivity of all tumor cells

       

Prostate – GPX2 negative adenocarcinoma (Gleason 3+3=6)

Salivary gland – Warthin tumor with strong GPX2 positivity of a fraction of epithelial tumor cells

Soft tissue – GPX2 negative leiomyosarcoma

Stomach – Gastric adenocarcinoma (diffuse type) with strong cytoplasmic and nuclear GPX2 positivity of tumor cells

       

Stomach – Gastric adenocarcinoma showing a very intense GPX2 staining of all tumor cells

Stomach – GPX2 negative gastrointestinal stromal tumor (GIST)

Testis – Seminoma with moderate to strong cytoplasmic and nuclear GPX2 immunostaining of tumor cells

Thyroid – GPX2 negative anaplastic carcinoma

       

Thyroid – GPX2 negative papillary carcinoma

Thyroid – Medullary cancer with moderate, predominantly cytoplasmic GPX2 staining of tumor cells

Urinary bladder – Muscle-invasive urothelial carcinoma with moderate to strong cytoplasmic and nuclear GPX2 immunostaining of _90_ of tumor cells

Uterus – Cervical adenocarcinoma exhibiting a weak to moderate, predominantly cytoplasmic GPX2 staining of tumor cells

       

Vulva – GPX2 negative squamous cell carcinoma

 

 

| TOP |