Normal Tissue Gallery- GTX639924

GPX2 antibody [HMV301] HistoMAXTM

 

Go to Cancer Tissue Gallery
  
 Go back to product page
  

Go to HistoMAX page

 

Adrenal gland

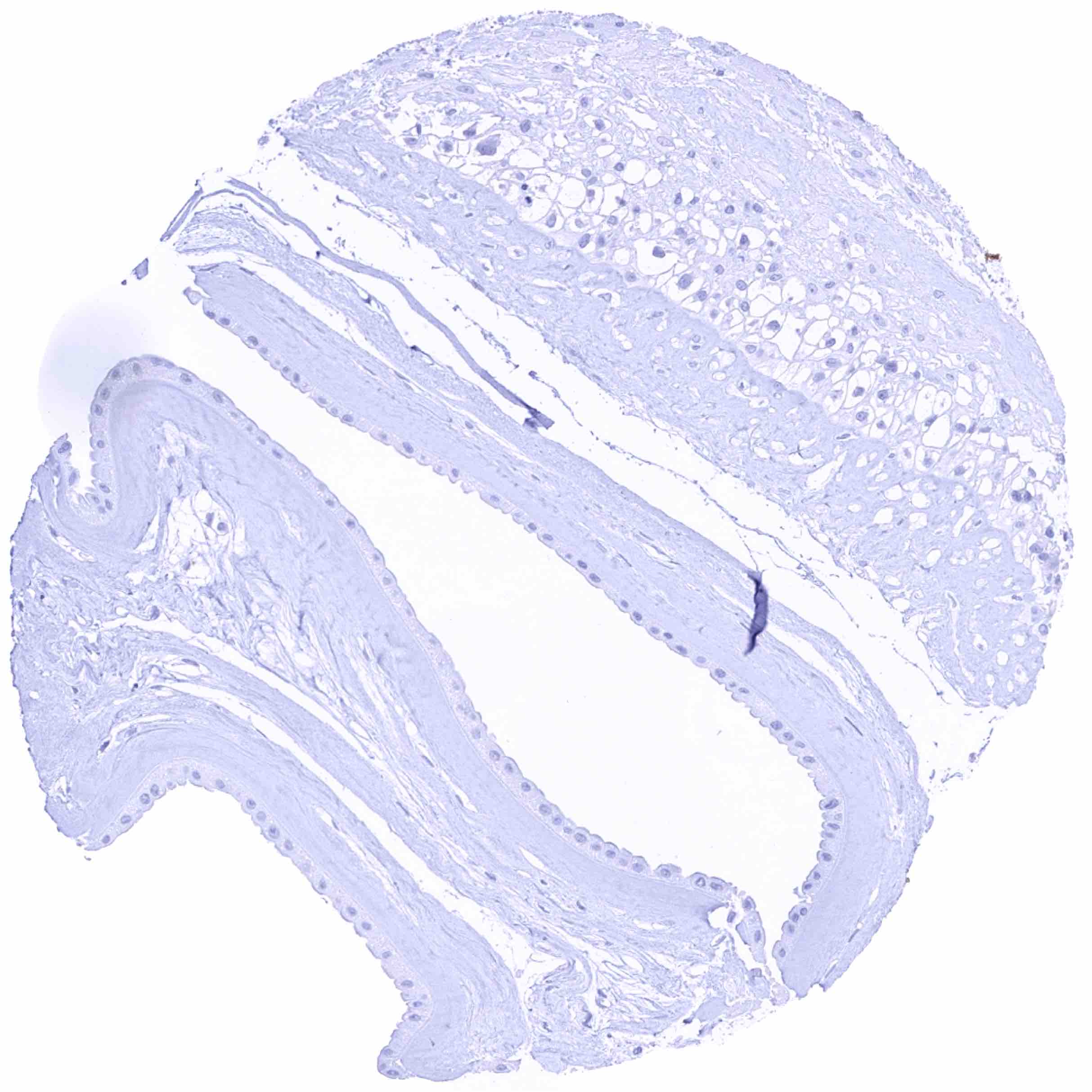
Aorta, media

Appendix, mucosa – Strong predominantly cytoplasmic GPX2 staining of epithelial cells - predominantly in the crypts. A luminal membrane staining can also be seen

Appendix, muscular wall

       

Bone marrow

Breast

Bronchus, glands – In some cases, all cells of the respiratory epithelium show intense nuclear and cytoplasmic GPX2 staining

Bronchus, mucosa – Weak to moderate, predominantly nuclear GPX2 staining of basal cells

       

Cerebellum (molecular layer, Purkinje cell layer, granule cell layer, white matter)

Cerebellum, cortex (grey)

Cerebrum, grey matter

Cerebrum, white matter

       

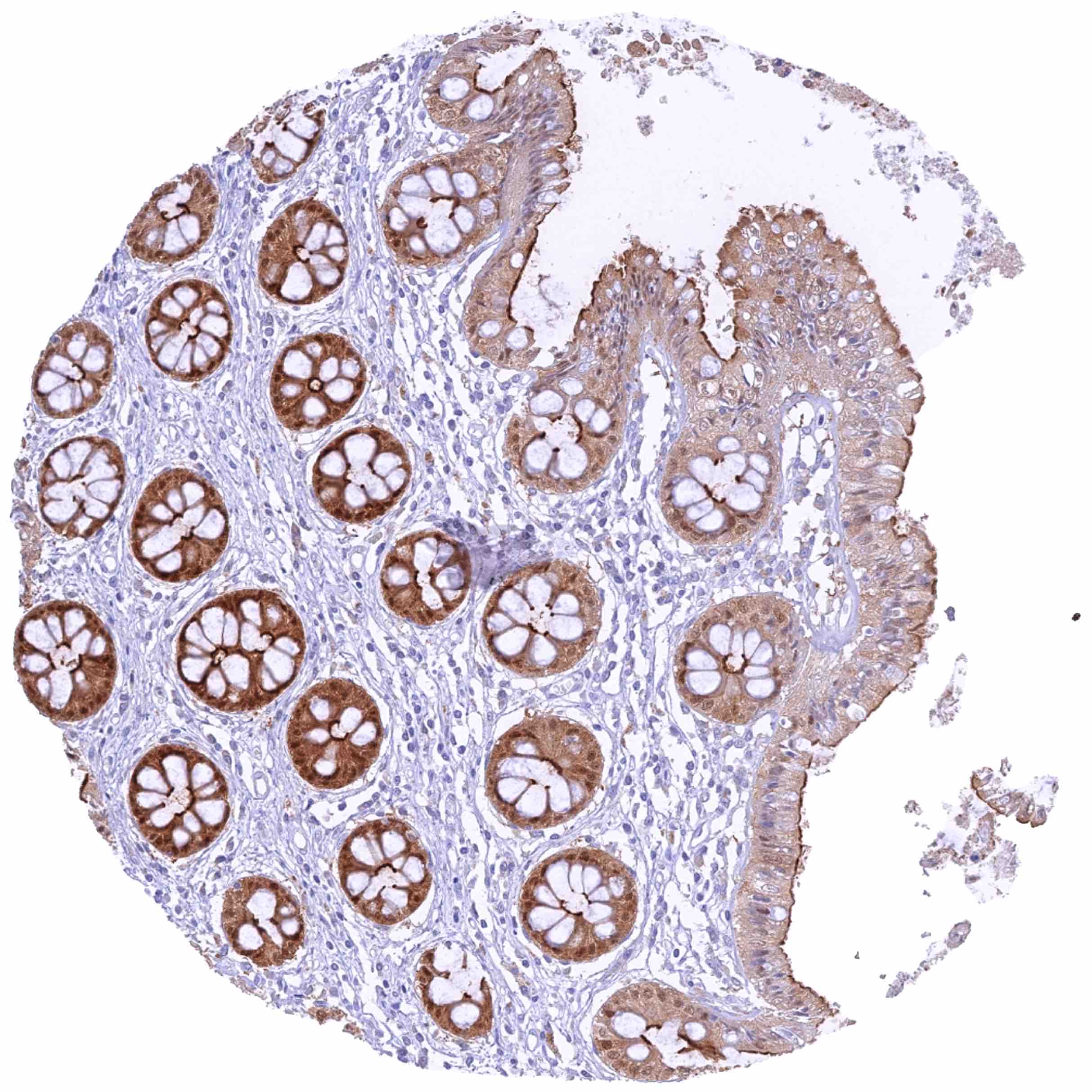
Colon descendens, mucosa – Strong predominantly cytoplasmic GPX2 staining of epithelial cells - predominantly in the crypts. A luminal membrane staining can also be seen

Colon descendens, muscular wall

Duodenum, Brunner gland – Brunner gland cells are GPX2 negative

Duodenum, mucosa – A predominantly cytoplasmic GPX2 staining of epithelial cells predominantes in the crypts. In addition, a luminal membrane staining of epithelial cells is seen

       

Epididymis – GPX2 staining is absent in the cauda epididymis

Epididymis – Weak to moderate, predominantly nuclear GPX2 staining of basal cells

Esophagus, squamous epithelium – Weak nuclear and cytoplasmic GPX2 staining of basal and suprabasal cells

Fallopian tube, mucosa

       

Fat

Gallbladder, epithelium – Intense cytoplasmic and nuclear GPX2 staining of epithelial cells. „Contamination artifact“ of epithelium-adjacent tissues

Heart muscle

Heart muscle

       

Ileum, mucosa – A predominantly cytoplasmic (but also nuclear) GPX2 staining of epithelial cells predominantes in the crypts. A luminal membrane staining can also be seen

Kidney, cortex

Kidney, medulla

Kidney, pelvis, urothelium – Intense nuclear and cytoplasmic GPX2 staining of urothelial cells (except umbrella cells)

       

Liver – Strong predominantly cytoplasmic GPX2 staining of bile duct cells. Weak to moderate nuclear and cytoplasmic staining of liver cells

Lung

Lymph node

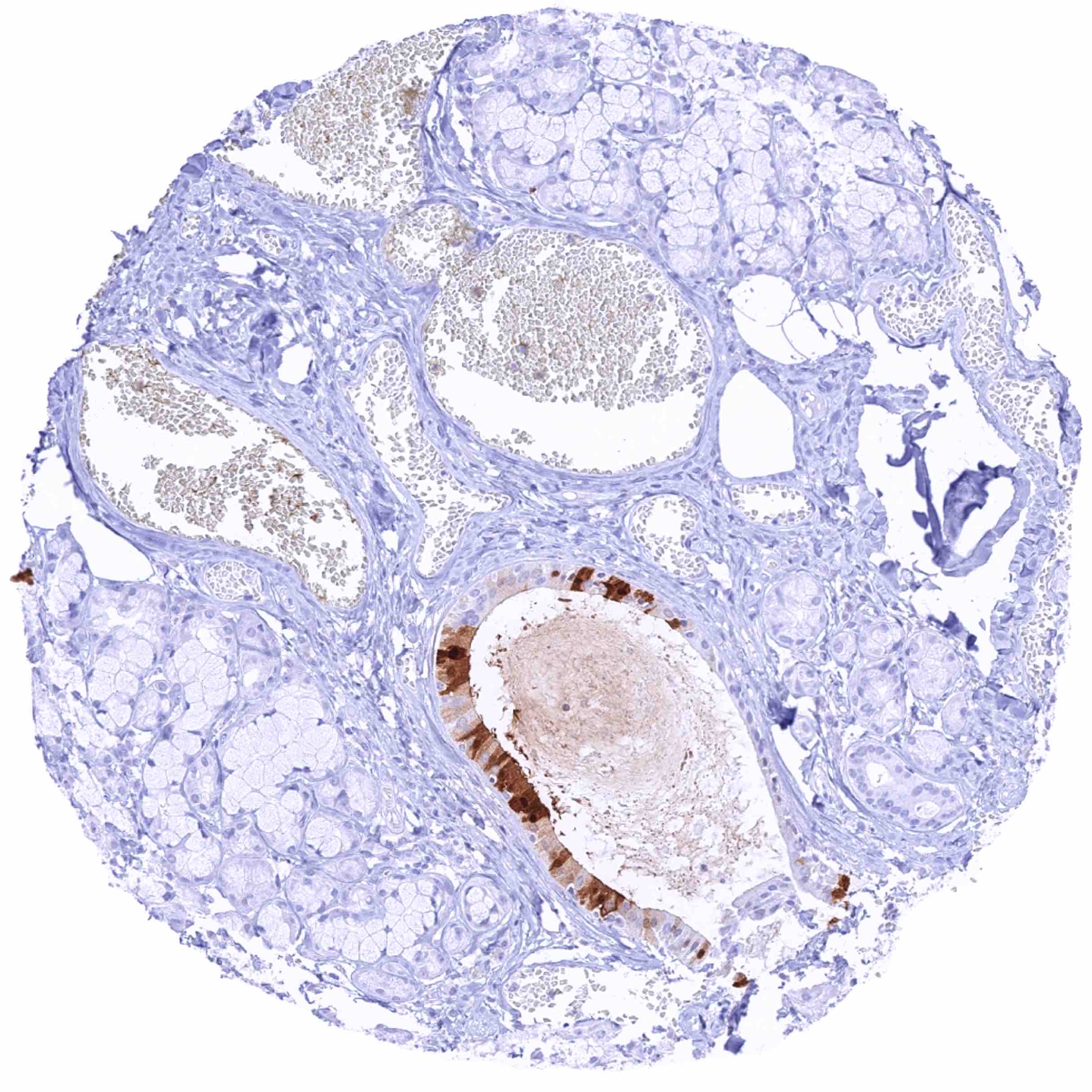
Ovary, corpus luteum

       

Pancreas – Significant, predominantly cytoplasmic GPX2 staining of excretory duct cells

Pancreas – Weak, predominantly nuclear GPX2 staining of pancreatic islet cells

Parathyroid gland

Parotid gland – Intense, predominantly cytoplasmic GPX2 staining of most cells of some (but not all) excretory ducts

       

Pituitary gland, anterior lobe

Pituitary gland, posterior lobe

Placenta (amnion and chorion)

Placenta, early

       

Placenta, mature

Prostate – Weak to moderate, nuclear and cytoplasmic GPX2 staining of a subset of basal cells

Rectum, mucosa – Strong predominantly cytoplasmic GPX2 staining of epithelial cells - predominantly in the crypts. A luminal membrane staining can also be seen

Seminal vesicle – Moderate to strong, predominantly cytoplasmic GPX2 staining of a subset of basal cells

       

Sinus paranasales – Weak to moderate, predominantly nuclear GPX2 staining of the basal cells of respiratory epithelium

Skeletal muscle

Skin – Absence of GPX2 staining in this sample of epidermis

Skin – Significant nuclear and cytoplasmic GPX2 staining in the epidermis. Decreasing staining intensity from basal to apical cell layers

       

Skin, hairfollicel and sebaceous glands – Weak to moderate nuclear and cytoplasmic GPX2 staining of peripheral germinative cells of sebaceous glands

Spleen

Stomach, antrum – Strong GPX2 staining of the surface epithelium with strongest staining in the most superficial cells. Parietal cells do also show significant staining

Stomach, antrum– Zusatztext VIEL zu lang

       

Stomach, corpus –Strong GPX2 nuclear and cytoplasmic staining of the surface epithelium with strongest staining seen in in the most superficial cells. Only weak GPX2 staining of gastric glands

Sublingual gland – Intense, predominantly cytoplasmic GPX2 staining of of some excretory duct cells

Testis

Thymus

       

Thyroid gland

Tonsil

Tonsil, surface epithelium

Urinary bladder, muscular wall

       

Urinary bladder, urothelium – Intense nuclear and cytoplasmic GPX2 staining of urothelial cells

Uterus, ectocervix – Moderate nuclear and cytoplasmic GPX2 staining of basal and suprabasal cells

Uterus, ectocervix – Weak nuclear and cytoplasmic GPX2 staining of basal and suprabasal cells

Uterus, endocervix

       

Uterus, endometrium (pregnancy)

Uterus, endometrium (proliferation)

Uterus, endometrium (secretion)

Uterus, myometrium

       

 

| TOP |