Cancer Tissue Gallery- GTX04469

GluT1 antibody [MSVA-401R] HistoMAX

 

Go to Normal Tissue Gallery
  
 Go back to product page
  

Go to HistoMAX page

 

Adrenal gland- GluT1 negative adrenocortical adenoma. Staining is limited to erythrocytes

Adrenal gland- GluT1 negative pheochromocytoma

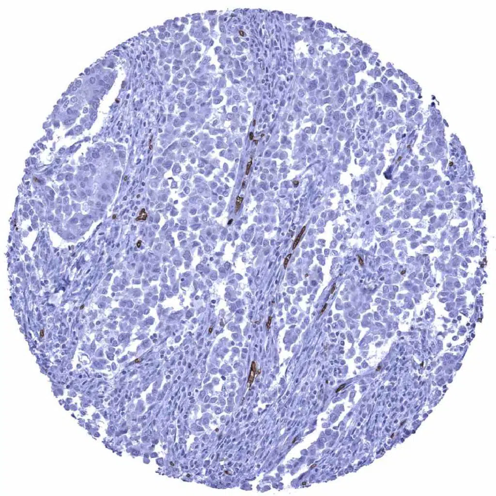
Breast- GluT1 negative invasive breast cancer of no special type (NST)

Colon- Colorectal adenocarcinoma with strong GluT1 immunostaining of tumor cells

       

Esophagus- Adenocarcinoma with strong, predominantly membranous GluT1 immunostaining of 20% of tumor cells

Esophagus- Squamous cell carcinoma with strong GluT1 immunostaining of tumor cells

Kidney- Clear cell renal cell carcinoma with weak membranous GluT1 immunostaining of tumor cells

Kidney- GluT1 negative papillary renal cell carcinoma. Only erythrocytes are GluT1 positive

       

Liver- GluT1 negative hepatocellular carcinoma

Lymph node- GluT1 negative diffuse large B-cell lymphoma

Lymph node- Hodgkin’s lymphoma showing a weak to moderate membranous GluT1 staining of tumor cells

Lymph node- Large cell anaplastic, ALK1 positive T-cell lymphoma with strong GluT1 immunostaining of all tumor cells

       

Ovary- GluT1 negative granulosa cell tumor

Ovary- Serous high-grade carcinoma with very intense GluT1 immunostaining of tumor cells

Pancreas- Acinar cell carcinoma completely lacking GluT1 immunostaining

Pancreas- Ductal adenocarcinoma with strong, predominantly membranous GluT1 immunostaining of tumor cells

       

Pancreas- GluT1 negative neuroendocrine tumor

Prostate- GluT1 negative adenocarcinoma (Gleason 3+3=6)

Salivary gland- Warthin tumor exhibiting a strong, predominantly basolateral, membranous GluT1 immunostaining of tumor cells

Skin- GluT1 negative basal cell carcinoma

       

Skin- Merkel cell carcinoma with strong GluT1 immunostaining of about 50% of tumor cells

Skin- Merkel cell carcinoma with strong GluT1 immunostaining of all tumor cells

Skin- Squamous cell carcinoma showing a strong GluT1 immunostaining of tumor cells

Soft tissue- GluT1 negative liposarcoma

       

Stomach- Gastric adenocarcinoma exhibiting a strong GluT1 immunostaining of all tumor cells

Stomach- GluT1 negative gastrointestinal stromal tumor (GIST)

Testis- Embryonal carcinoma with strong membranous GluT1 immunostaining of all tumor cells

Testis- GluT1 negative seminoma

       

Thyroid- Anaplastic carcinoma showing strong GluT1 immunostaining of 90% of tumor cells

Thyroid- GluT1 negative papillary carcinoma. Erythrocytes are strongly stained

Urinary bladder- Muscle-invasive urothelial carcinoma showing strong membranous GluT1 immunostaining of 90% of tumor cells

Uterus, cervix- Squamous cell carcinoma containing a mixture of GluT1 positive (80%) and negative (or only weakly positive) tumor cells (20%)

       

 

| TOP |