Normal Tissue Gallery- GTX04469

GluT1 antibody [MSVA-401R] HistoMAX

 

Go to Cancer Tissue Gallery
  
 Go back to product page
  

Go to HistoMAX page

 

Adrenal gland

Aorta, endothelium

Appendix, mucosa – Focal faint epithelial cell GluT1 staining. Staining is more intense in follicular dendritic cells of a germinal centre

Appendix, muscular wall

       

Bone marrow – Erythrocytes and their precursor cells stain positive

Breast – Faint cytoplasmic staining of acinar cells of the breast

Bronchus, mucosa – Faint cytoplasmic GluT1 staining occurs in (non-basal) cells of the respiratory epithelium

Cerebellum (granule cell layer, white matter)

       

Cerebellum (molecular layer, Purkinje cell layer, granule cell layer) – GluT1 staining in endothelial cells is strongest in the brain

Cerebrum, grey matter – A particularly strong GluT1 staining of endothelial cells is seen in the brain

Cerebrum, white matter

Colon descendens, muscular wall

       

Colon descendes, mucosa – Signficant GluT1 staining of endothelial cells of most vessels

Duodenum, Brunner gland

Duodenum, mucosa – Strong GluT1 staining of endothelial cells of most small vessels

Epididymis

       

Esophagus, squamous epithelium – Weak to moderate membranous GluT1 staining in the lower third of the squamous epithelium

Fallopian tube, mucosa – A weak to moderate cytoplasmic staining of epithelial cells occurs in the fallopian tube

Gallbladder, epithelium – Epithelial cell staining is absent in this sample

Gallbladder, epithelium – Focal epithelial cell staining of variable intensity

       

Heart muscle – Moderate to strong GluT1 staining of small capillaries

Ileum, mucosa

Kidney, cortex – Few tubuli or collecting ducts show weak GluT1 staining

Kidney, medulla – Few collecting ducts show weak to moderate cytoplasmic GluT1 staining

       

Kidney, medulla – GluT1 staining is strongest in capillaries. Few tubuli or collecting ducts show weak cytoplasmic GluT1 staining

Liver – Strong GluT1 staining of erythrocytes while sinusoidal cells lack staining

Lung – GluT1 staining is largely limited to erythrocytes. Endothelial cells hardly stain positive

Lymph node – Prominent GluT1 staining in follicular dendritic cells of germinal centres and in endothelial cells. Staining is weaker in a fraction of interfollicular cells

       

Lymph node – Prominent GluT1 staining in follicular dendritic cells of germinal centres and in endothelial cells

Ovary stroma – Strong GluT1 staining of endothelial cells of some small blood vessels

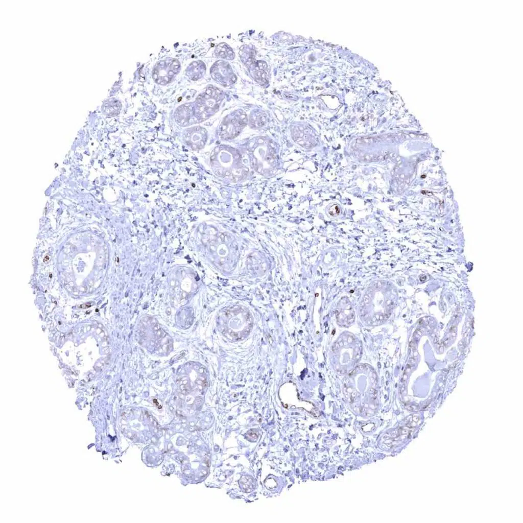
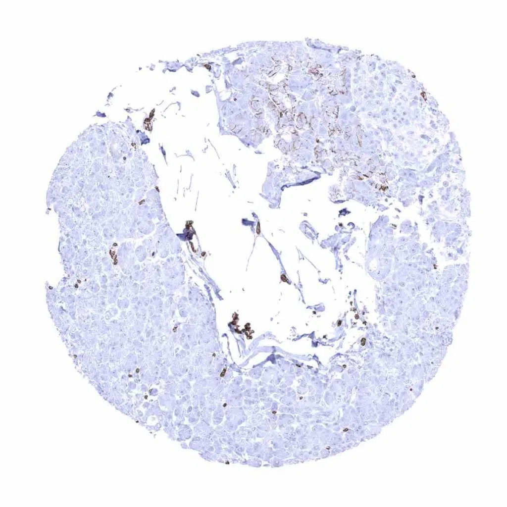
Pancreas – A focal membranous staining of acinar epithelial cells is seen in this sample from the pancreas

Pancreas – GluT1 staining is limited to erythrocytes in this sample

       

Parathyroid gland

Parotid gland

Pituitary gland, anterior lobe

Pituitary gland, posterior lobe – Strong GluT1 staining of endothelial cells

       

Placenta (amnion and chorion) – Membranous GluT1 staining is very intense in amnion and chorion cells. Endothelial cells also show a particularly strong staining

Placenta, early – Very intense, predominantly membranous GluT1 staining of syncytio- and cytotrophoblast cells

Placenta, mucosa – Very intense, predominantly membranous GluT1 staining of syncytio- and cytotrophoblast cells. Endothelial cells also show a strong positivity

Prostate – Weak GluT1 staining in basal cells

       

Rectum, mucosa – A weak membranous and cytoplasmic, preferentially basolateral GluT1 staining in the surface epithelium of this rectum sample

Rectum, mucosa – GluT1 staining largely absent in this rectum sample

Seminal vesicle – A predominantly basolateral membranous GluT1 positivity occurs in a fraction of epithelial cells

Sinus paranasales

       

Skeletal muscle – Strong GluT1 staining perineurium while endothelial cells of small capillaries lack staining

Skin – Weak to moderate cytoplasmic GluT1 staining, preferentially in the lower third of the squamous epithelium

Spleen – Strong GluT1 staining of erythrocytes

Stomach, antrum – A weak membranous and cytoplasmic, preferentially basolateral GluT1 staining occurs in the surface epithelium of this sample

       

Stomach, antrum – GluT1 staining is limited to erythrocytes in this stomach sample

Testis

Thymus

Thyroid gland – Epithelial cells are GluT1 negative

       

Tonsil, surface epithelium – Weak to moderate membranous GluT1 staining in the lower half of the squamous epithelium. Moderate to strong GluT1 staining of follicular dendritic cells in germinal centres while staining is markedly weaker in a fraction of interfollicular cells.

Urinary bladder, muscular wall

Urinary bladder, urothelium – A weak to moderate membranous staining occurs in the urothelium with decreasing intensity from the basal to the superficial cell layers

Uterus, ectocervix

       

Uterus, endocervix

Uterus, endometrium (pregnancy) – Moderate intensity, predominantly membranous GluT1 staining of decidua cells

Uterus, endometrium (proliferation) – Prominent GluT1 staining of small vessels in this sample

Uterus, endometrium (proliferation) – Weak GluT1 staining of both epithelial and stromal cells

       

Uterus, endometrium (secretion) – Weak to moderate GluT1 staining of both epithelial and stromal cells

Uterus, myometrium

   

 

| TOP |