Cancer Tissue Gallery- GTX04428

Her2 / ErbB2 antibody [MSVA-340R] HistoMAX

 

Go to Normal Tissue Gallery
  
 Go back to product page
  

Go to HistoMAX page

 

Breast- Breast cancer of no special type (NST)- Her2 / ErbB2- 1+.

Breast- Breast cancer of no special type (NST)- Her2 / ErbB2- 1+.

Breast- Breast cancer of no special type (NST)- Her2 / ErbB2- 2+.

Breast- Breast cancer of no special type (NST)- Her2 / ErbB2- 2+.

       

Breast- Breast cancer of no special type (NST)- Her2 / ErbB2- 2+.

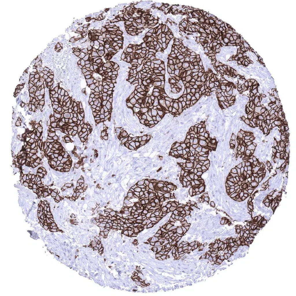
Breast- Breast cancer of no special type (NST)- Her2 / ErbB2- 3+.

Breast- Breast cancer of no special type (NST)- Her2 / ErbB2- 3+.

Breast- Breast cancer of no special type (NST)- Her2 / ErbB2- 3+.

       

Breast- Her2 / ErbB2 negative invasive breast cancer of no special type (NST).

Breast- Her2 / ErbB2 negative invasive breast cancer of no special type (NST).

Colon- Her2 / ErbB2 negative colorectal adenocarcinoma.

Esophagus- Her2 / ErbB2 negative adenocarcinoma.

       

Esophagus- Her2 / ErbB2 negative squamous cell carcinoma.

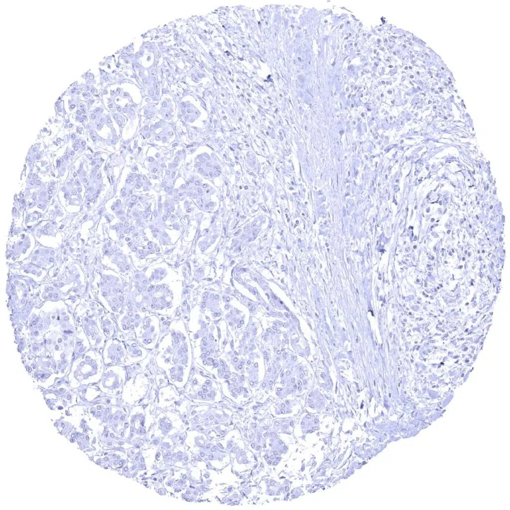
Kidney- Her2 / ErbB2 negative clear cell renal cell carcinoma.

Kidney- Her2 / ErbB2 negative papillary renal cell carcinoma.

Prostate- Her2 / ErbB2 negative adenocarcinoma (Gleason 3+3=6).

       

Stomach- Gastric adenocarcinoma (Her2 / ErbB2- 2+)

Stomach- Gastric adenocarcinoma (Her2 / ErbB2- 2+).

Stomach- Her2 / ErbB2 negative gastric adenocarcinoma.

Stomach- Her2 / ErbB2 negative gastric adenocarcinoma.

       

Stomach- Her2 / ErbB2 positive gastric adenocarcinoma (Her2 / ErbB2- 3+).

 

 

| TOP |