Cancer Tissue Gallery- GTX04465

Iba1 antibody [MSVA-955M] HistoMAX

 

Go to Normal Tissue Gallery
  
 Go back to product page
  

Go to HistoMAX page

 

Esophagus - Abundant AIF1 positive inflammatory cells in an adenocarcinoma.

Esophagus - Copious AIF1 positive inflammatory cells in a squamous cell carcinoma.

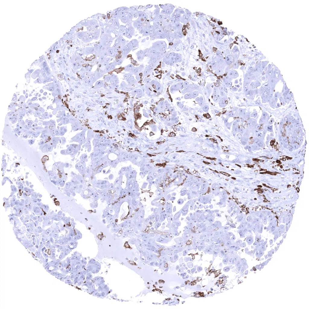
Kidney - Clear cell renal cell carcinoma containing abundant AIF1 positive inflammatory cells.

Lung - Adenocarcinoma displaying abundant AIF1 positive inflammatory cells.

       

Lung - Malignant mesothelioma (epitheloid subtype) containing abundant AIF1 positive inflammatory cells.

Lung - Squamous cell carcinoma containing numerous AIF1 positive inflammatory cells.

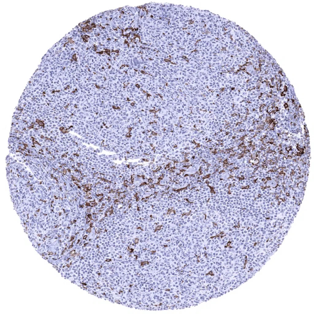
Lymph node - Diffuse large B-cell lymphoma containing a large number of AIF1 positive inflammatory cells.

Lymph node - Diffuse large B-cell lymphoma containing various AIF1 positive inflammatory cells.

       

Lymph node - Follicular B-cell lymphoma containing many AIF1 positive inflammatory cells.

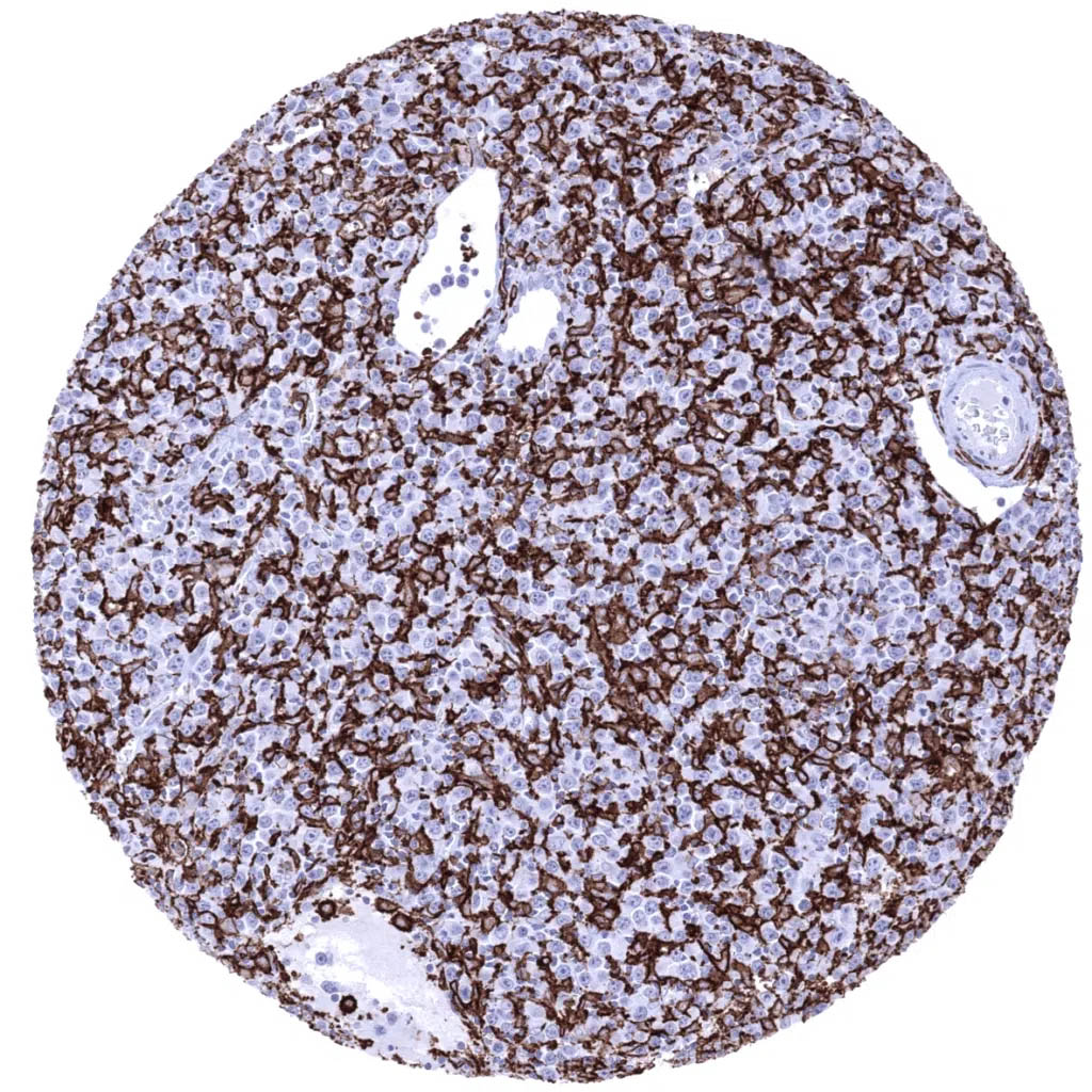
Lymph node - Hodgkin’s lymphoma almost completely consisting of AIF1 positive inflammatory cells. Note: Hodgkin’s and Reed Sternberg cells are AIF1 negative.

Malignant mesothelioma (epitheloid subtype) containing numerous AIF1 positive inflammatory cells.

Oral cavity - Squamous cell carcinoma containing abundant AIF1 positive macrophages and also granulocytes.

       

Ovary - Endometroid carcinoma containing various AIF1 positive inflammatory cells.

Ovary - Serous high-grade carcinoma including various AIF1 positive inflammatory cells.

Pancreas - Neuroendocrine tumor containing several AIF1 positive inflammatory cells.

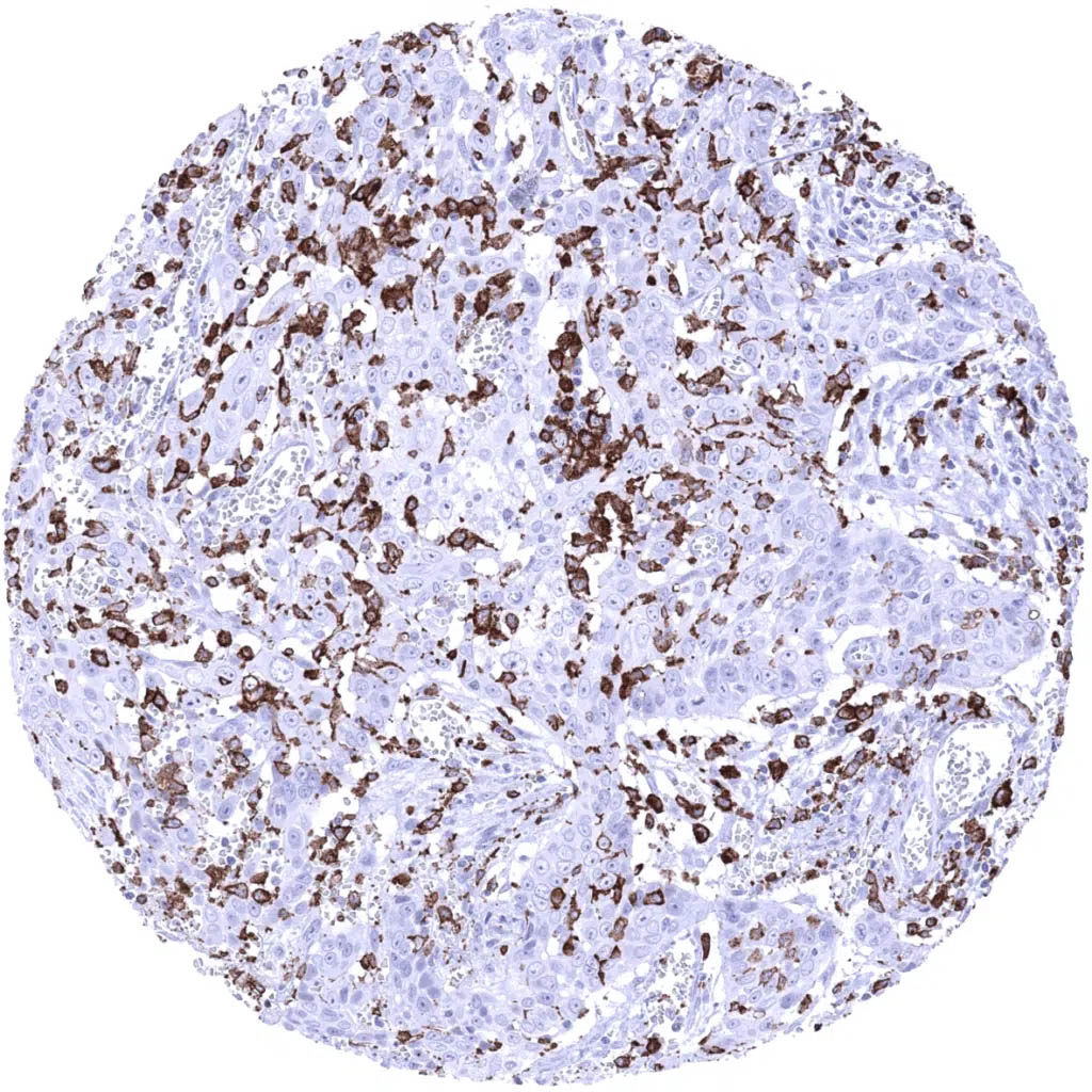
Pancreas - Numerous AIF1 positive inflammatory cells in a ductal adenocarcinoma.

       

Penis - Squamous cell carcinoma containing various AIF1 positive inflammatory cells.

Prostate - Adenocarcinoma (Gleason 3+3=6) displaying only a few AIF1 positive inflammatory cells.

Salivary gland - Many AIF1 positive inflammatory cells in a Warthin tumor.

Skin - Merkel cell carcinoma containing multiple AIF1 positive inflammatory cells.

       

Soft tissue - Abundant AIF1 positive inflammatory cells in a liposarcoma.

Soft tissue - Abundant AIF1 positive macrophages in a giant cell tumor of the tendon sheath.

Soft tissue - Leiomyosarcoma containing numerous AIF1 positive inflammatory cells.

Soft tissue - Sarcoma NOS containing abundant AIF1 positive inflammatory cells.

       

Stomach - Gastric adenocarcinoma containing numerous AIF1 positive inflammatory cells.

Stomach - Gastrointestinal stromal tumor (GIST) containing various AIF1 positive inflammatory cells.

Testis - Leydig cell tumor showing numerous intermingled AIF1 positive inflammatory cells.

Testis - Seminoma containing numerous AIF1 positive inflammatory cells.

       

Thyroid - Papillary carcinoma containing only a few AIF1 positive inflammatory cells.

Urinary bladder - Muscle-invasive urothelial carcinoma containing numerous AIF1 positive inflammatory cells.

Uterus, cervix - Squamous cell carcinoma containing many AIF1 positive inflammatory cells.

     

 

| TOP |