Normal Tissue Gallery- GTX04465

Iba1 antibody [MSVA-955M] HistoMAX

 

Go to Cancer Tissue Gallery
  
 Go back to product page
  

Go to HistoMAX page

 

Adrenal gland - A strong Iba1 immunostaining is seen in macrophges in the adrenal gland.

Aorta, media

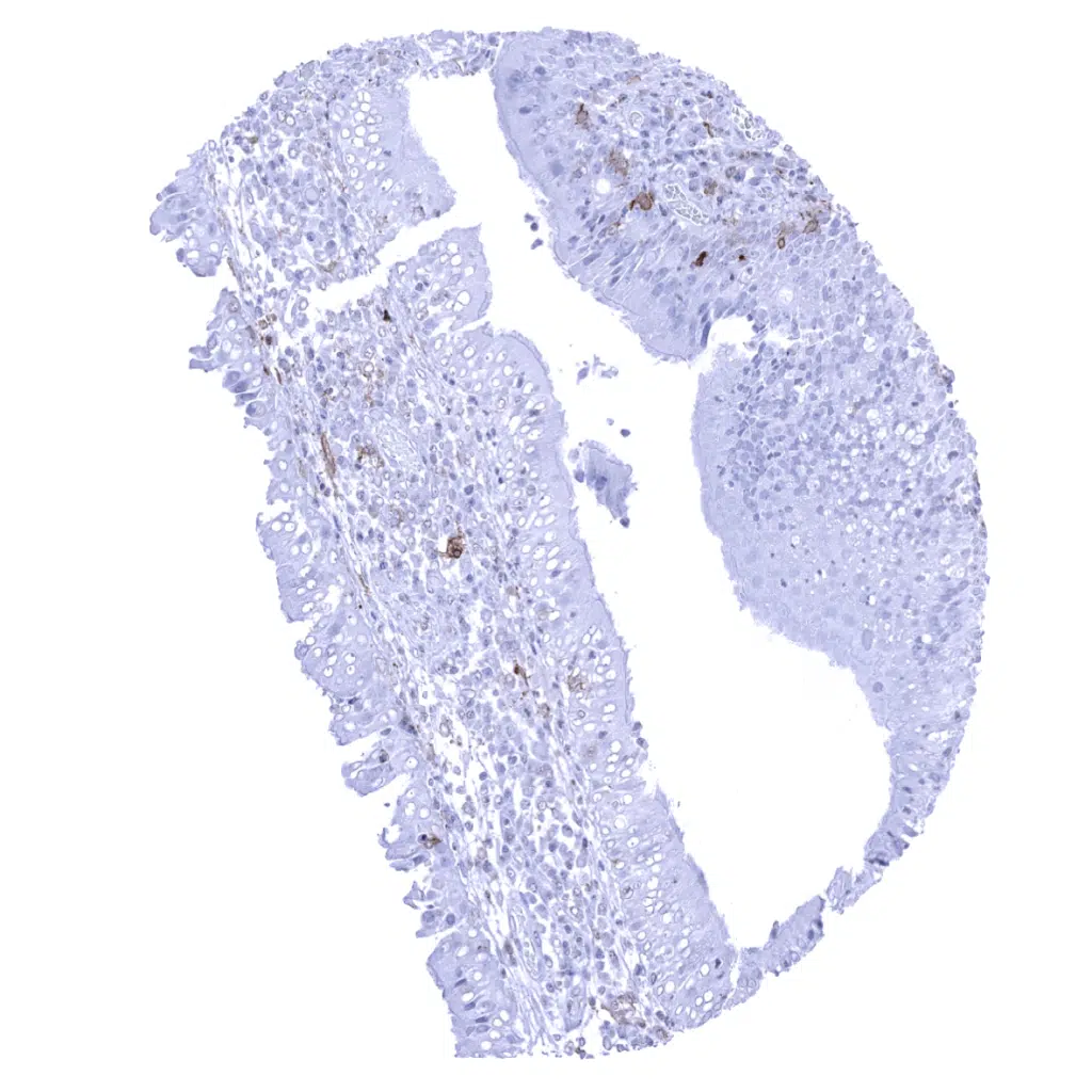
Appendix, mucosa

Appendix, muscular wall

       

Bone marrow

Breast

Bronchus, mucosa

Cerebellum (molecular, Purkinje cell, granule cell layers; white matter) - A distinct Iba1 immunostaining is seen in microglia cells.

       

Cerebellum (molecular layer, Purkinje cell layer, granule cell layer, white matter) - A distinct Iba1 immunostaining is seen in microglia cells.

Cerebrum, grey matter - A distinct Iba1 immunostaining is seen in microglia cells.

Cerebrum, white matter - A distinct Iba1 immunostaining is seen in microglia cells.

Colon descendens, mucosa - Strong Iba1 positivity is seen in mucosal macrophages.

       

Colon descendens, muscular wall

Duodenum, Brunner gland

Duodenum, mucosa - A strong Iba1 positivity is seen in mucosal macrophages.

Endocervix

       

Endometrium, proliferation - Strong Iba1 positivity in scattered macrophages.

Endometrium

Endometrium, secretion

Epididymis

       

Esophagus, squamous epithelium

Fallopian tube, mucosa

Fat

Gallbladder, epithelium

       

Heart muscle

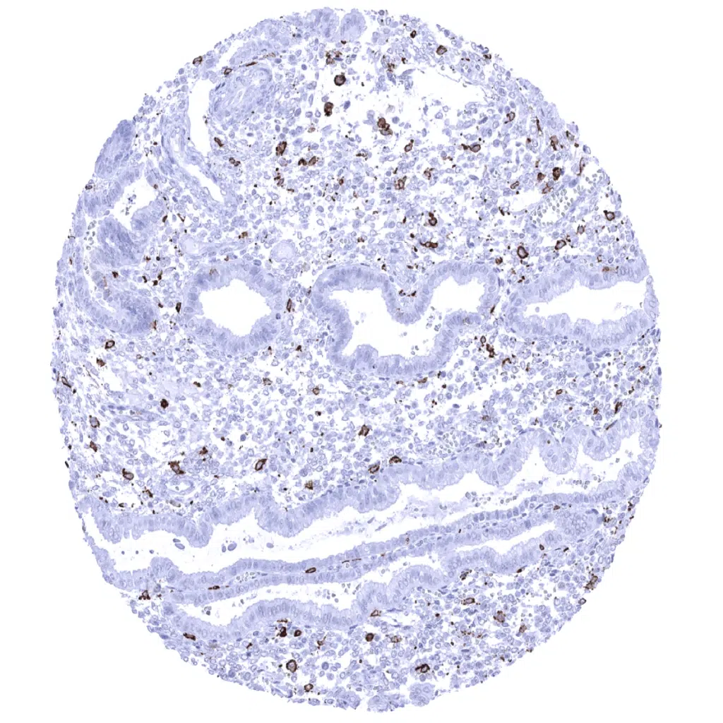
Ileum, mucosa - A strong Iba1 positivity is seen in mucosal macrophages.

Kidney, cortex - A moderate to strong membranous Iba1 positivity is seen in glomeruli of the kidney. Iba1 staining also occurs in macrophages.

Kidney, medulla

       

Liver - A strong Iba1 immunostaining occurs in Kupffer cells and intrasinusoidal monocytes.

Lung - Alveolar macrophages show a significant Iba1 immunostaining.

Lymph node - Iba1 positive macrophages are abundant in lymph nodes.

Ovary, stroma

       

Pancreas - A moderate to strong Iba1 positivity is seen in macrophages of the pancreas.

Parathyroid gland

Parotid gland

Pituitary gland, anterior lobe

       

Pituitary gland, posterior lobe

Placenta, early - Iba1 expression is particuarly strong in macrophages of the placenta.

Placenta, mature – Iba1 expression is particuarly strong in macrophages of the placenta.

Placenta (amnion)

       

Placenta (chorion)

Prostate

Rectum, mucosa - A strong Iba1 positivity is seen in mucosal macrophages.

Seminal vesicle

       

Sinus paranasales

Skeletal muscle

Skin

Spleen - Numerous Iba1 positive monocytes/macrophages are seen in the spleen.

       

Stomach, antrum

Stomach, corpus

Testis

Thymus

       

Thyroid gland

Tonsil, surface epithelium

Tonsil

Urinary bladder, muscular wall

       

Urinary bladder, urothelium

Uterus, ectocervix

Uterus, endometrium (pregnancy)

Uterus, myometrium

       

 

| TOP |