Cancer Tissue Gallery- GTX04475

Kallikrein 7 antibody [MSVA-707M] HistoMAX

 

Go to Normal Tissue Gallery
  
 Go back to product page
  

Go to HistoMAX page

 

Anal canal- Squamous cell carcinoma with strong Kallikrein 7 immunostaining in a zone of keratinization.

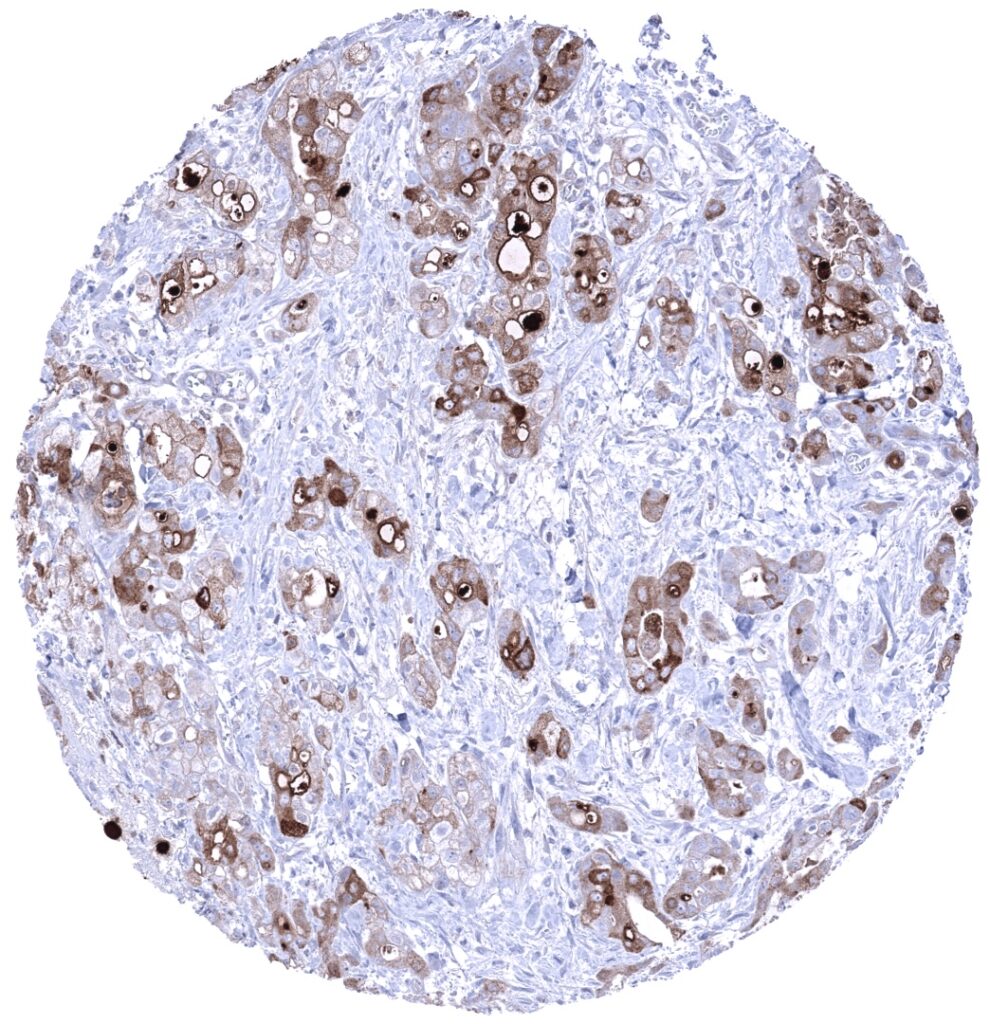
Breast- Invasive breast cancer of no special type (NST) showing a distinct Kallikrein 7 immunostaining of tumor cells.

Breast- Kallikrein 7 negative invasive lobular breast cancer.

Colon- Colorectal adenocarcinoma exhibiting a weak to moderate Kallikrein 7 staining in a fraction of tumor cells.

       

Colon- Kallikrein 7 negative colorectal adenocarcinoma

Esophagus- Adenocarcinoma with Kallikrein 7 immunostaining of variable intensity in most tumor cells.

Esophagus- Squamous cell carcinoma with Kallikrein 7 immunostaining in a zone of keratinization.

Kidney- Kallikrein 7 negative clear cell carcinoma

       

Liver- Kallikrein 7 negative hepatocellular carcinoma.

Lung- Kallikrein 7 negative malignant mesothelioma (epitheloid).

Lung- Kallikrein 7 negative small cell carcinoma.

Lung- Kallikrein 7 negative squamous cell carcinoma.

       

Lymph node- Kallikrein 7 negative Hodgkin's lymphoma.

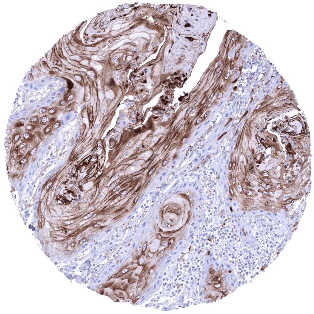
Oral cavity- Squamous cell carcinoma with strong Kallikrein 7 immunostaining in areas of keratinization.

Ovary- Kallikrein 7 negative endometroid carcinoma.

Ovary- Serous high-grade carcinoma with strong Kallikrein 7 immunostaining of tumor cells.

       

Pancreas- Adenocarcinoma of the papilla Vaterii with Kallikrein 7 immunostaining of most tumor cells.

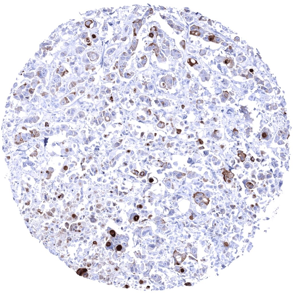
Pancreas- Ductal adenocarcinoma showing a faint Kallikrein 7 staining of tumor cells.

Pancreas- Kallikrein 7 negative neuroendocrine tumor.

Penis- Squamous cell carcinoma with strong Kallikrein 7 staining in an area depicting keratinization.

       

Pharynx- Squamous cell carcinoma with strong Kallikrein 7 immunostaining of most tumor cells.

Prostate- Kallikrein 7 negative adenocarcinoma (Gleason 3+3=6).

Salivary gland- Warthin tumor with moderate to strong Kallikrein 7 immunostaining of most epithelial tumor cells.

Skin- Keratinizing squamous cell carcinoma with strong Kallikrein 7 immunostaining of most tumor cells.

       

Skin- Kallikrein 7 negative basal cell carcinoma.

Skin- Kallikrein 7 negative Merkel cell carcinoma.

Stomach- Gastric adenocarcinoma with moderate to strong Kallikrein 7 immunostaining of tumor cells.

Stomach- Kallikrein 7 negative gastrointestinal stromal tumor (GIST).

       

Testis- Kallikrein 7 negative Leydig cell tumor.

Testis- Kallikrein 7 negative seminoma.

Thyroid- Kallikrein 7 negative medullary carcinoma.

Thyroid- Kallikrein 7 negative papillary carcinoma.

       

Urinary bladder- Kallikrein 7 negative muscle-invasive urothelial carcinoma.

Urinary bladder- Muscle-invasive urothelial carcinoma containing few interspersed tumor cells with strong Kallikrein 7 immunostaining.

Urinary bladder- Muscle-invasive urothelial carcinoma with strong Kallikrein 7 immunostaining of a fraction of tumor cells undergoing squamous differentiation.

Vulva- Squamous cell carcinoma showing a significant Kallikrein 7 immunostaining of tumor cells.

       

 

| TOP |