Normal Tissue Gallery- GTX04475

Kallikrein 7 antibody [MSVA-707M] HistoMAX

 

Go to Cancer Tissue Gallery
  
 Go back to product page
  

Go to HistoMAX page

 

Adrenal gland

Aorta, media

Appendix, mucosa

Appendix, muscular wall

       

Bone marrow

Breast

Bronchus, mucosa

Cerebellum (white matter)

       

Cerebellum, cortex (molecular, Purkinje cell, and granule cell layers)

Cerebrum, grey matter

Cerebrum, white matter

Colon descendens, mucosa

       

Colon descendens, muscular wall

Duodenum, mucosa

Epididymis – Granular cytoplasmic staining in this sample reflects pigment and is unrelated to Kallikrein 7.

Epididymis

       

Esophagus, squamous epithelium – Weak to moderate Kallikrein 7 immunostaining in the superficial half of the squamous epithelium

Fallopian tube, mucosa – A predominantly apical cytoplasmic Kallikrein 7 staining in a small fraction of epithelial cells.

Fallopian tube, mucosa – Kallikrein 7 staining of epithelial cells is not seen in this sample.

Fat

       

Gallbladder, epithelium

Heart muscle

Ileum, mucosa

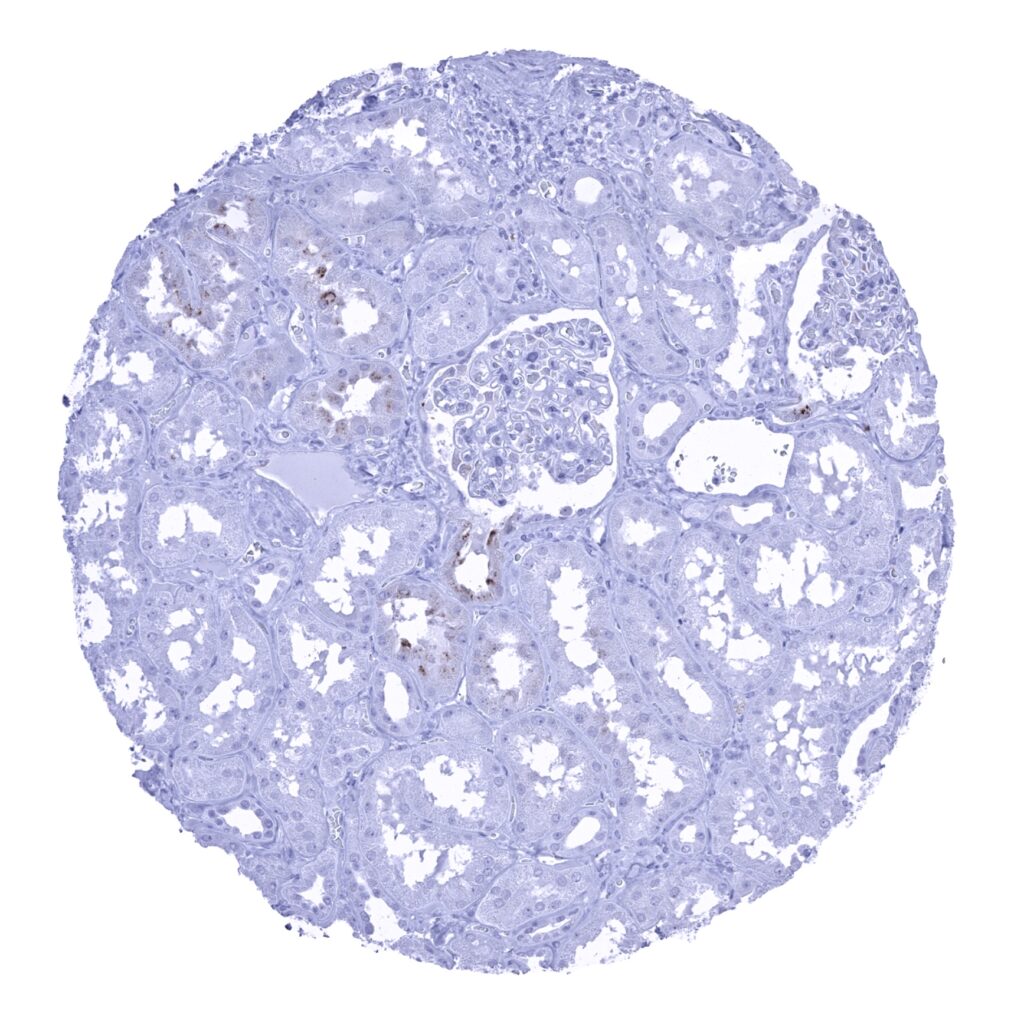
Kidney, cortex – Focal Kallikrein 7 staining in few tubuli of this kidney sample.

       

Kidney, cortex – Kallikrein 7 staining is not seen in this kidney sample.

Kidney, medulla – Kallikrein 7 staining is not seen in this kidney sample.

Kidney, pelvis, urothelium

Lip, oral mucosa – Kallikrein 7 immunostaining is almost absent in this squamous epithelium sample.

       

Liver

Lung

Lymph node

Ovary, stroma

       

Pancreas

Parotid gland

Pituitary gland, anterior lobe

Pituitary gland, posterior lobe

       

Placenta (amnion and chorion)

Placenta, early

Placenta, mature

Prostate

       

Rectum, mucosa

Seminal vesicle

Sinus paranasales

Skeletal muscle

       

Skin – A strong Kallikrein 7 immunostaining is seen in the stratum granulosum and the keratinizing superficial layer of the skin

Skin (hair follicles and sebaceous glands) – A strong Kallikrein 7 immunostaining is seen in the cortex of hair follicles and the luminal area of sebaceous glands

Spleen

Stomach, antrum

       

Stomach, corpus

Sublingual gland

Testis

Thymus – Strong Kallikrein 7 immunostaining in keratinizing squamous epithelial cells of a corpuscle of Hassall's

       

Thyroid gland

Tonsil, surface epithelium – Moderate Kallikrein 7 staining in the top third of the squamous epithelium, a layer that corresponds to the stratum granulosum

Tonsil

Urinary bladder, muscular wall

       

Urinary bladder, urothelium

Uterus, ectocervix – Kallikrein 7 immunostaining is almost absent in this squamous epithelium sample

Uterus, ectocervix – Kallikrein 7 staining is undetectable in this squamous epithelium

Uterus, endocervix

       

Uterus, endometrium (pregnancy)

Uterus, endometrium (proliferation)

Uterus, endometrium (secretion)

Uterus, myometrium

       

 

| TOP |