Cancer Tissue Gallery- GTX640560

Mre11 antibody [HMV328] HistoMAX™

 

Go to Normal Tissue Gallery
  
 Go back to product page
  

Go to HistoMAX page

 

Adrenal gland – Adrenocortical adenoma with distinct nuclear MRE11 staining of tumor cells

Bone – Osteosarcoma with strong nuclear MRE11 positivity of tumor cells

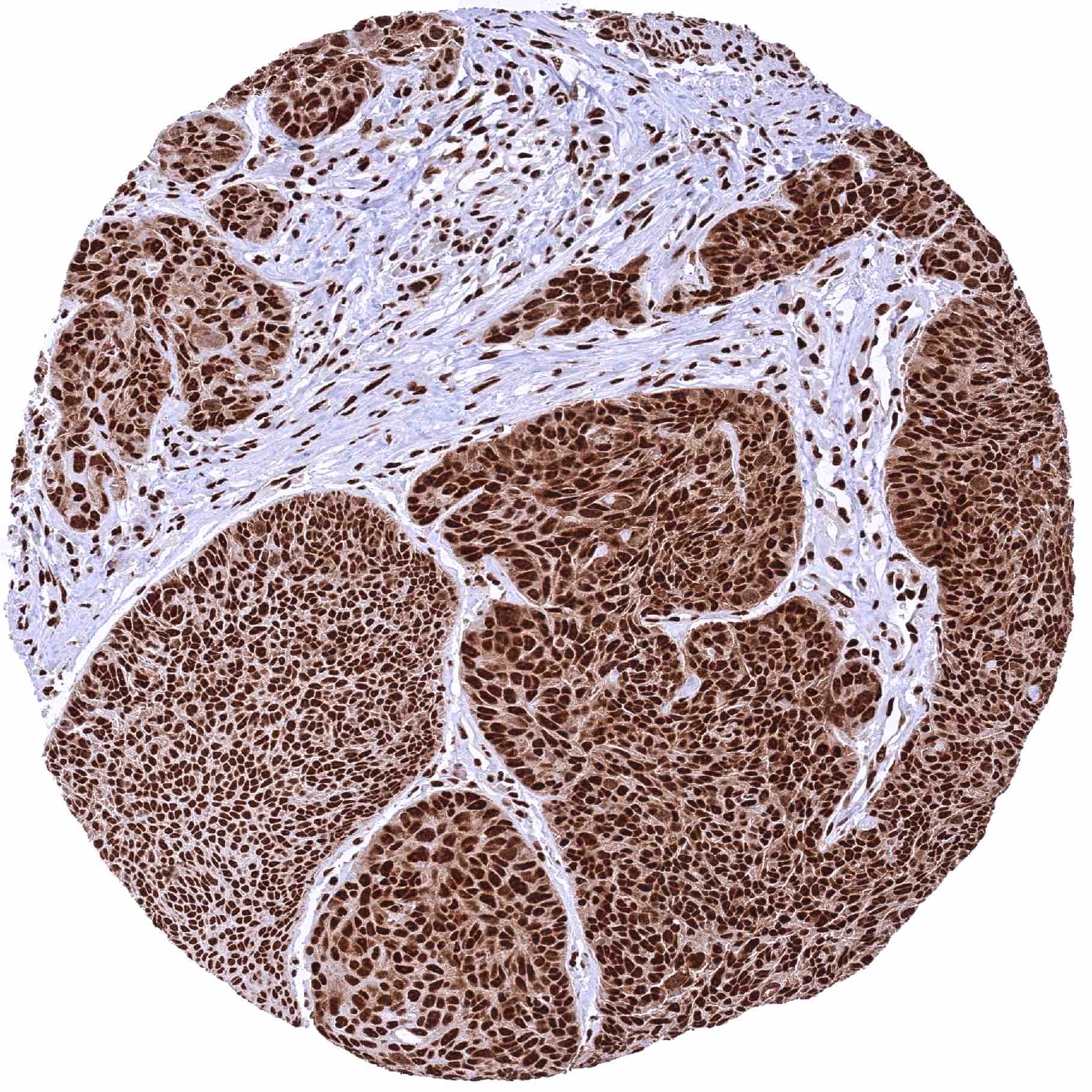
Breast – Invasive breast cancer of no special type (NST) exhibiting a strong nuclear MRE11 staining of tumor cells

Colon – Colorectal adenocarcinoma showing only a faint nuclear MRE11 staining of tumor cells

       

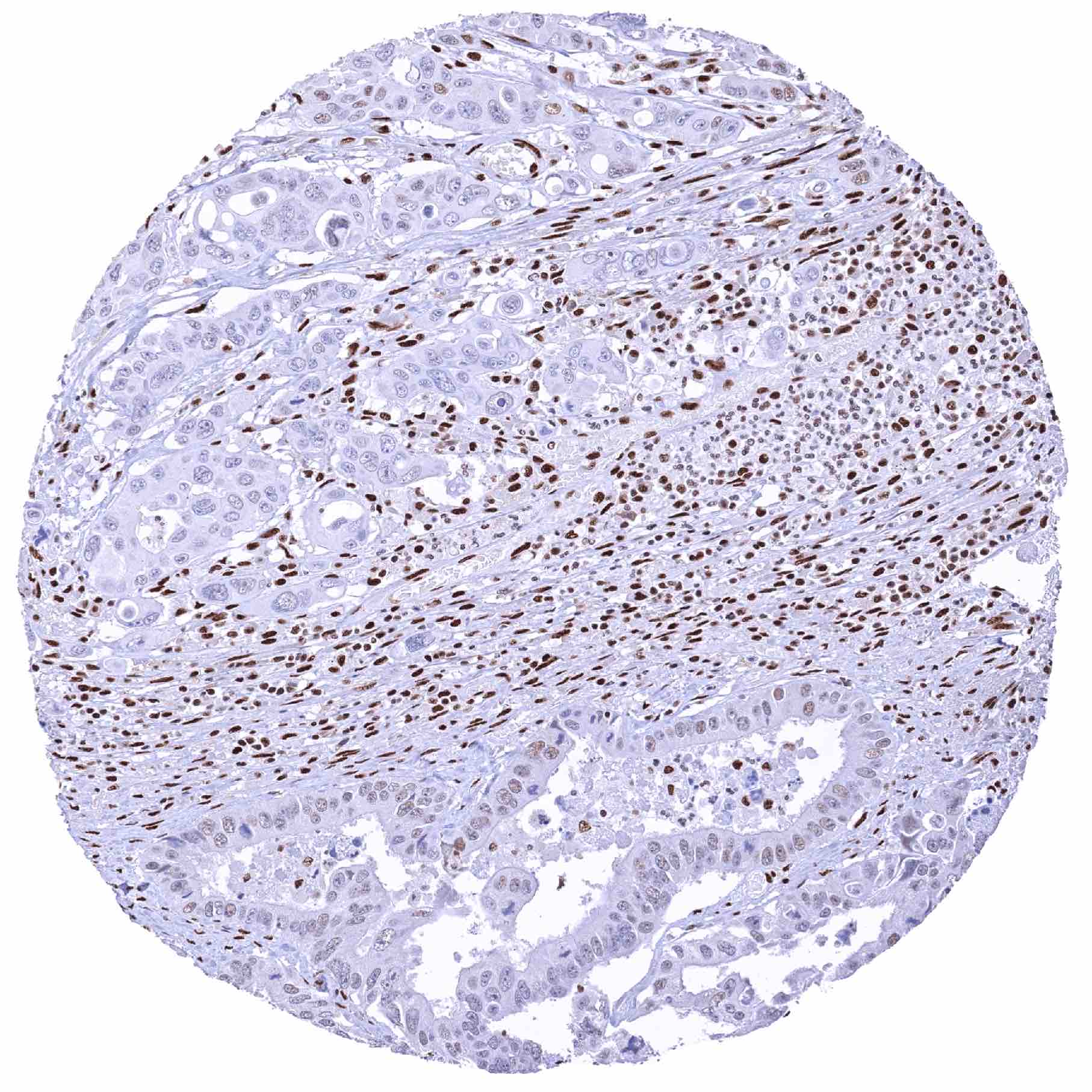
Colon – Colorectal adenocarcinoma with a complete loss of MRE11 immunostaining in tumor cells

Colon – Colorectal adenocarcinoma with a marked reduction or loss of MRE11 staining of tumor cells

Esophagus – Squamous cell carcinoma showing a distinct nuclear MRE11 immunostaining of tumor cells

Kidney – Clear cell renal cell carcinoma with distinct nuclear MRE11 staining of tumor cells

       

Kidney – Papillary renal cell carcinoma with strong MRE11 immunostaining of tumor cells

Larynx – Squamous cell carcinoma with a strong nuclear MRE11 immunostaining of tumor cells

Liver – Cholangiocellular carcinoma with strong nuclear MRE11 positivity of tumor cells

Liver – Hepatocellular carcinoma with strong nuclear MRE11 immunostaining of tumor cells

       

Lung – Adenocarcinoma showing only a weak nuclear MRE11 staining of tumor cells while the staining of stromal cells is much stronger

Lung – Adenocarcinoma with strong MRE11 staining of tumor cells

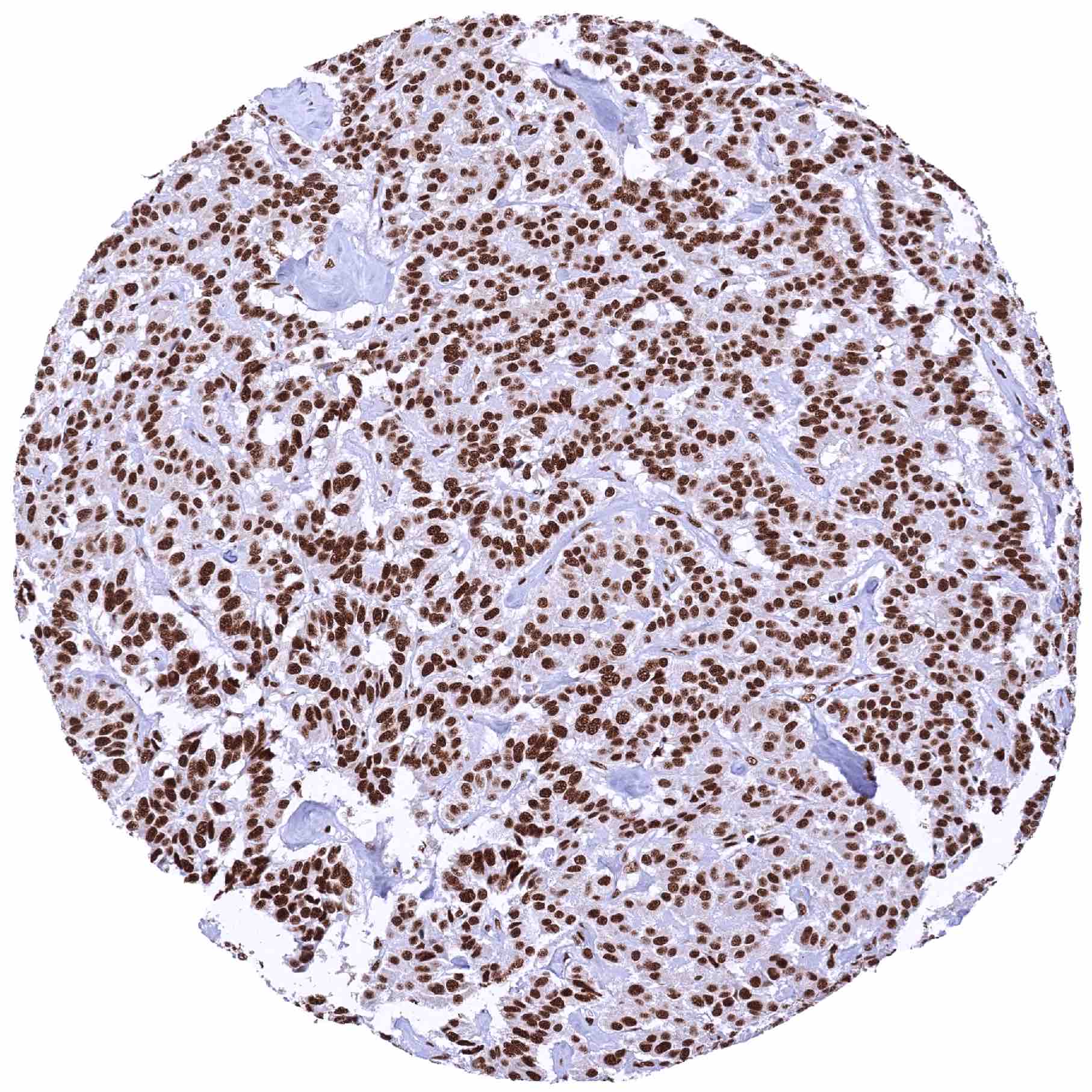
Lymph node – Diffuse large B-cell lymphoma showing a strong nuclear MRE11 positivity of tumor cells

Lymph node – Hodgkin’s lymphoma showing a particularly strongnuclear MRE11 staining of the tumor cells

       

Oral cavity – Squamous cell carcinoma showing a strong nuclear MRE11 immunostaining of tumor cells

Ovary – Granulosa cell tumor with strong MRE11 staining of tumor cells

Ovary – Malignant mixed Mullerian tumor with strong MRE11 positivity of epithelial and mesenchymal tumor cells

Ovary – Serous high-grade carcinoma with a strong nuclear MRE11 staining of tumor cells

       

Pancreas – Ductal adenocarcinoma with strong MRE11 positivity of all tumor cells

Pancreas – Neuroendocrine tumor exhibiting a strong nuclear MRE11 positivity of tumor cells

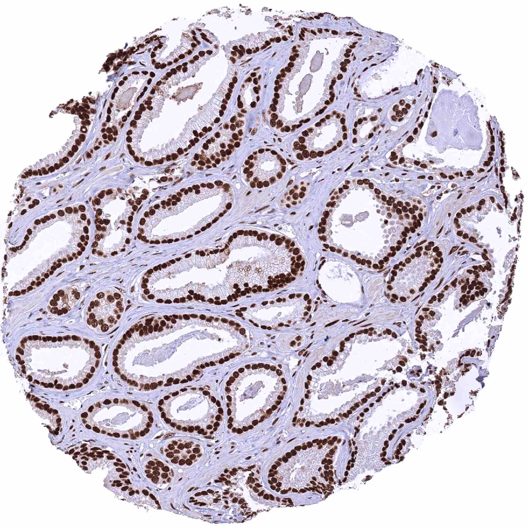
Prostate – Adenocarcinoma (Gleason 3+3=6) showing an intense nuclear MRE11 immunostaining of tumor cells

Salivary gland – Warthin tumor with intense nuclear MRE11 positivity of tumor cells

       

Skin – Basal cell carcinoma showing a strong nuclear MRE11 immunostaining of tumor cells

Soft tissue – Leiomyosarcoma with strong nuclear MRE11 staining of tumor cells

Stomach – Gastric adenocarcinoma (diffuse type) with strong nuclear MRE11 positivity of all tumor cells

Stomach – Gastric adenocarcinoma (intestinal type) exhibiting only a weak nuclear MRE11 staining of tumor cells

       

Stomach – Gastrointestinal stromal tumor (GIST) with prominent nuclear MRE11 staining of tumor cells

Testis – Leydig cell tumor with strong nuclear MRE11 staining of tumor cells

Testis – Seminoma with distinct nuclear MRE11 positivity of tumor cells

Thyroid – Papillary cancer with strong nuclear MRE11 immunostaining of all tumor cells

       

Urinary bladder – Muscle-invasive urothelial carcinoma with strong nuclear MRE11 immunostaining of tumor cells

Uterus, cervix – Adenocarcinoma with strong nuclear MRE11 positivity of tumor cells

   

| TOP |