Normal Tissue Gallery- GTX640560

Mre11 antibody [HMV328] HistoMAX™

 

Go to Cancer Tissue Gallery
  
 Go back to product page
  

Go to HistoMAX page

 

Adrenal gland

Aorta, media

Appendix, mucosa

Appendix, muscular wall – Strong nuclear MRE11 staining of all cells

       

Bone marrow

Breast

Bronchus, mucosa

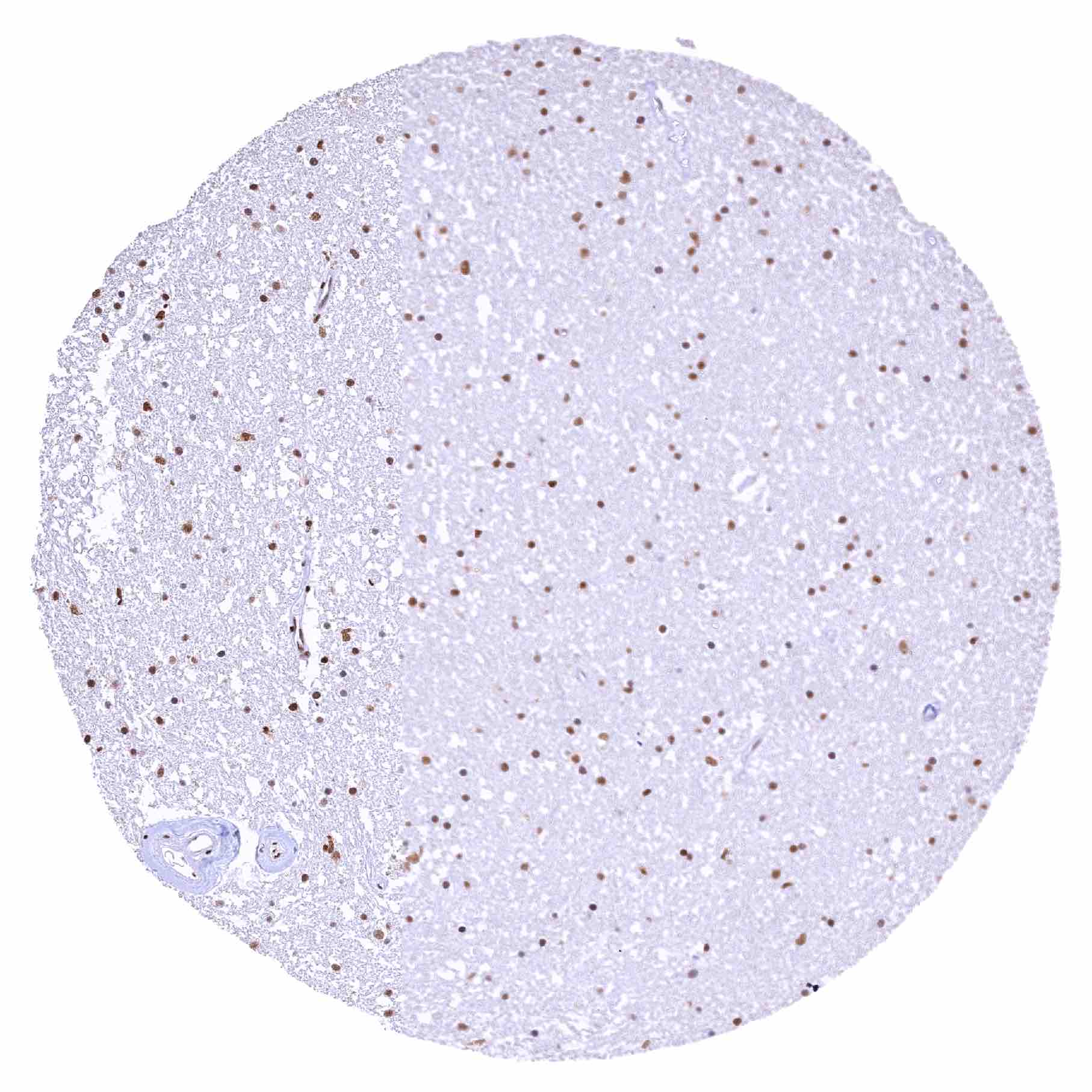
Cerebellum (white matter)

       

Cerebellum, cortex (molecular layer, Purkinje cell layer, granule cell layer)

Cerebrum, grey matter

Cerebrum, white matter

Colon descendens, mucosa – Distinct nuclear MRE11 staining of all cells. Slight but significant decrease of MRE11 staining from the crypt baseto the superficial epithelial cell layers

       

Colon descendens, muscular wall

Duodenum, Brunner gland

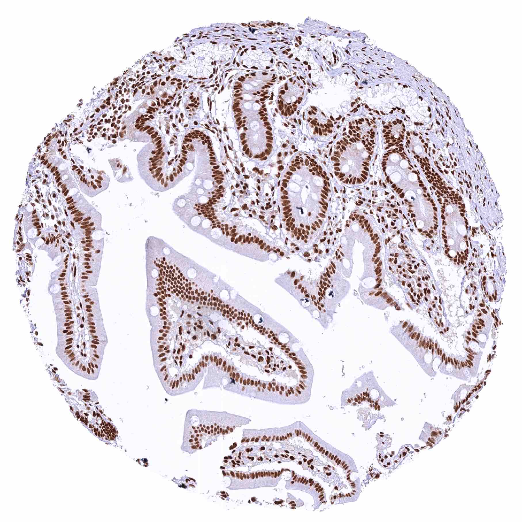
Duodenum, mucosa

Epididymis (Cauda)

       

Epididymis (Corpus)

Esophagus, squamous epithelium – Slight but significant decrease of MRE11 staining from the basal-suprabasal to the superficial cell layers of the squamous epithelium

Fallopian tube, mucosa

Fat

       

Gallbladder, epithelium

Heart muscle – Strong nuclear MRE11 staining of all cells

Ileum, mucosa

Kidney, cortex

       

Kidney, medulla

Kidney, pelvis, urothelium – Strong nuclear MRE11 staining of all cells. In addition, a weak to moderate cytoplasmic MRE11 staining occurs in some samples

Liver – Strong nuclear MRE11 staining of most cell types. In this sample, MRE11 staining is completely absent in hepatocytes

Liver – Strong nuclear MRE11 staining of most cells. In this sample, MRE11 staining is absent in hepatocytes

       

Liver – Strong nuclear MRE11 staining of most cells. MRE11 staining is weaker (weak to moderate) in hepatocytes

Lung

Lymph node

Ovary, corpus luteum

       

Ovary, stroma

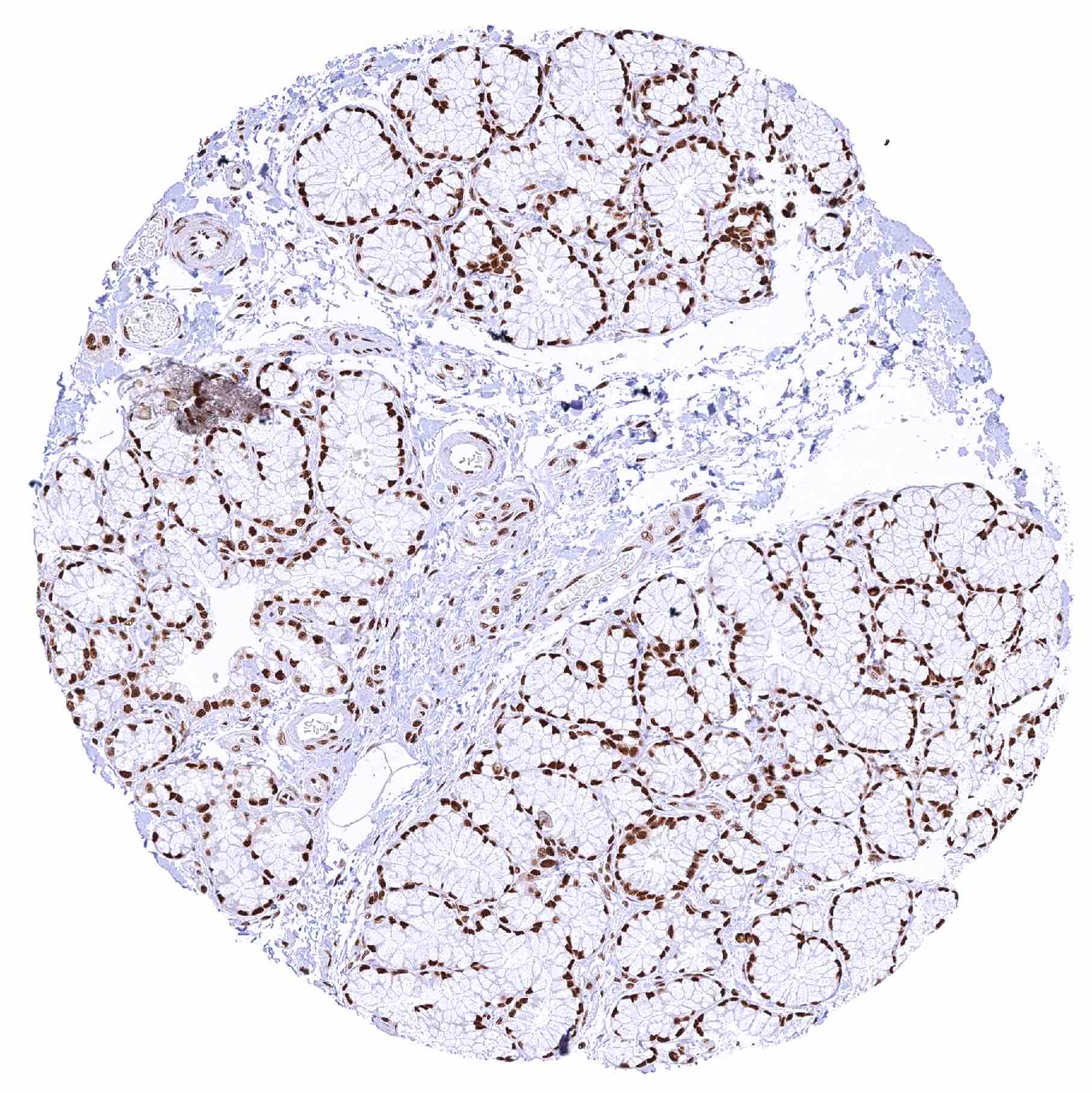
Pancreas

Parotid gland

Pituitary gland, anterior lobe

       

Pituitary gland, posterior lobe

Placenta (amnion and chorion)

Placenta, early – Distinct nuclear MRE11 staining of all cells. In addition, weak to moderate cytoplasmic staining of trophoblast cells

Placenta, mature – Distinct nuclear MRE11 staining of all cells, although the nuclear staining is somewhat weaker in syncytiotrophoblast cells than in all other cell types

       

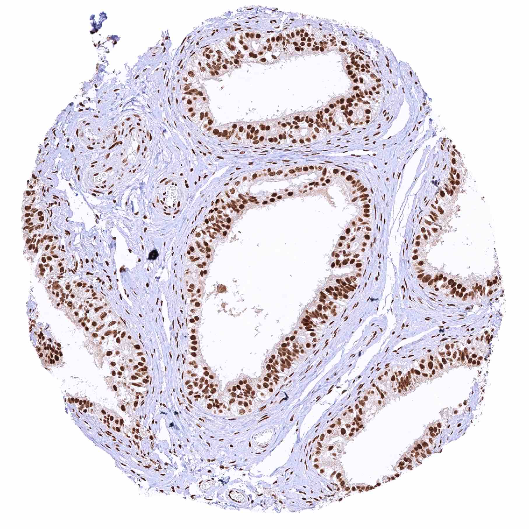
Prostate

Rectum, mucosa

Seminal vesicle

Sinus paranasales

       

Skeletal muscle – Strong nuclear MRE11 staining of all cells

Skin, hair follicle and sebaceous glands

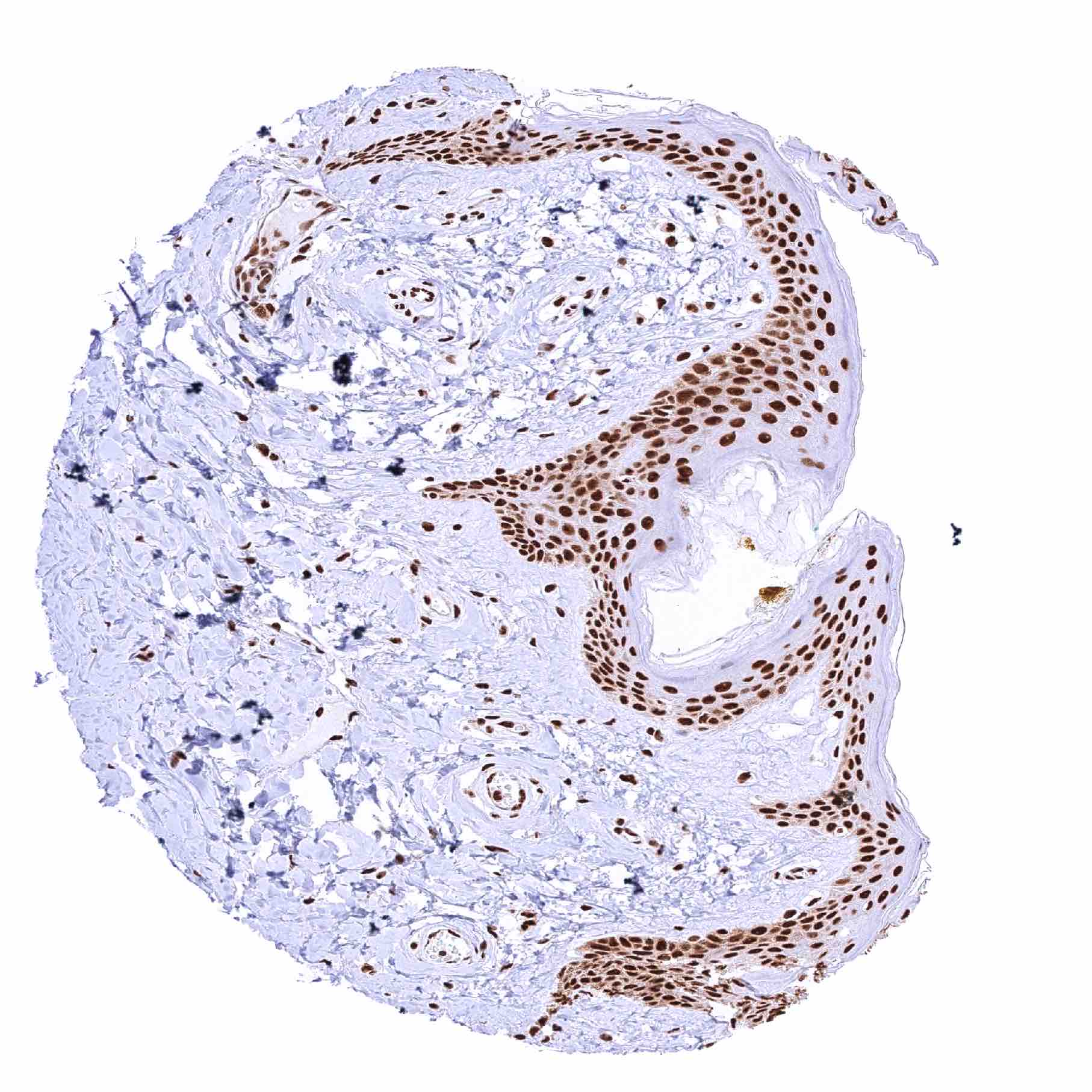
Skin

Stomach, antrum – Strong nuclear MRE11 staining of all cells. A distinct cytoplasmic MRE11 staining of parietal cells represents a (tolerable) cross-reactivity

       

Stomach, antrum

Testis – Distinct nuclear MRE11 staining of all cells although the staining intensity of germ cells decreases from spermatogonia to spermatids

Thymus – Strong nuclear MRE11 staining of all cells. A few dispersed cells stand out because of a particularly strong nuclear MRE11 staining

Thyroid gland

       

Tonsil, surface epithelium

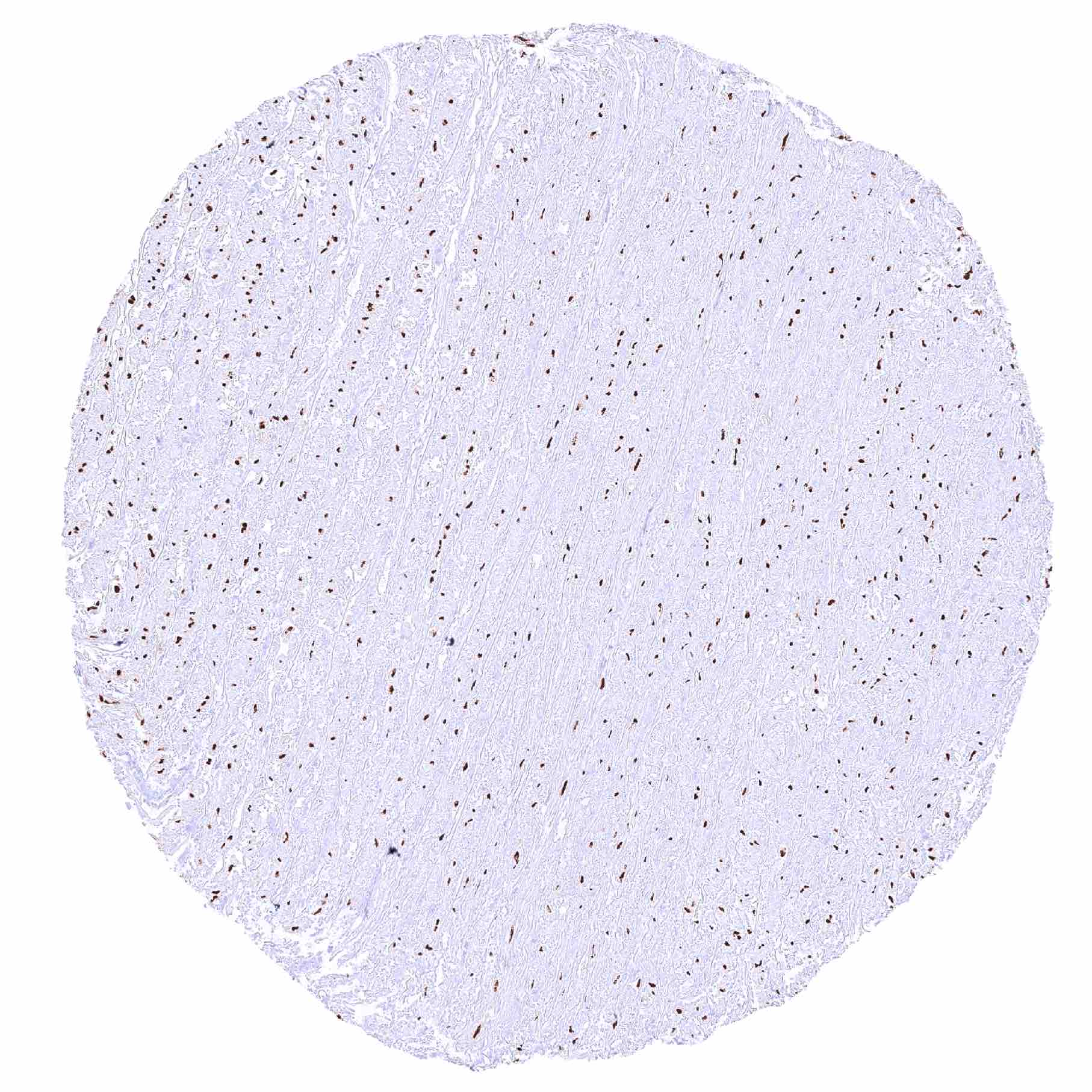
Urinary bladder, muscular wall

Urinary bladder, urothelium – Strong nuclear MRE11 staining of all cells

Uterus, ectocervix

       

Uterus, endocervix

Uterus, endometrium (pregnancy)

Uterus, endometrium (proliferation)

Uterus, endometrium (secretion)

       

 

| TOP |