Cancer Tissue Gallery- GTX04397

MUC1 antibody [MSVA-672R] HistoMAX

 

Go to Normal Tissue Gallery
  
 Go back to product page
  

Go to HistoMAX page

 

Adrenal gland- MUC1 EMA negative adrenocortical adenoma.

Adrenal gland- MUC1 EMA negative adrenocortical carcinoma.

Breast- Invasive breast cancer of no special type (NST) with strong MUC1 EMA immunostaining of tumor cells.

Breast- Invasive lobular breast cancer with strong MUC1 EMA immunostaining of tumor cells. Note: Staining is equally strong in normal glands.

       

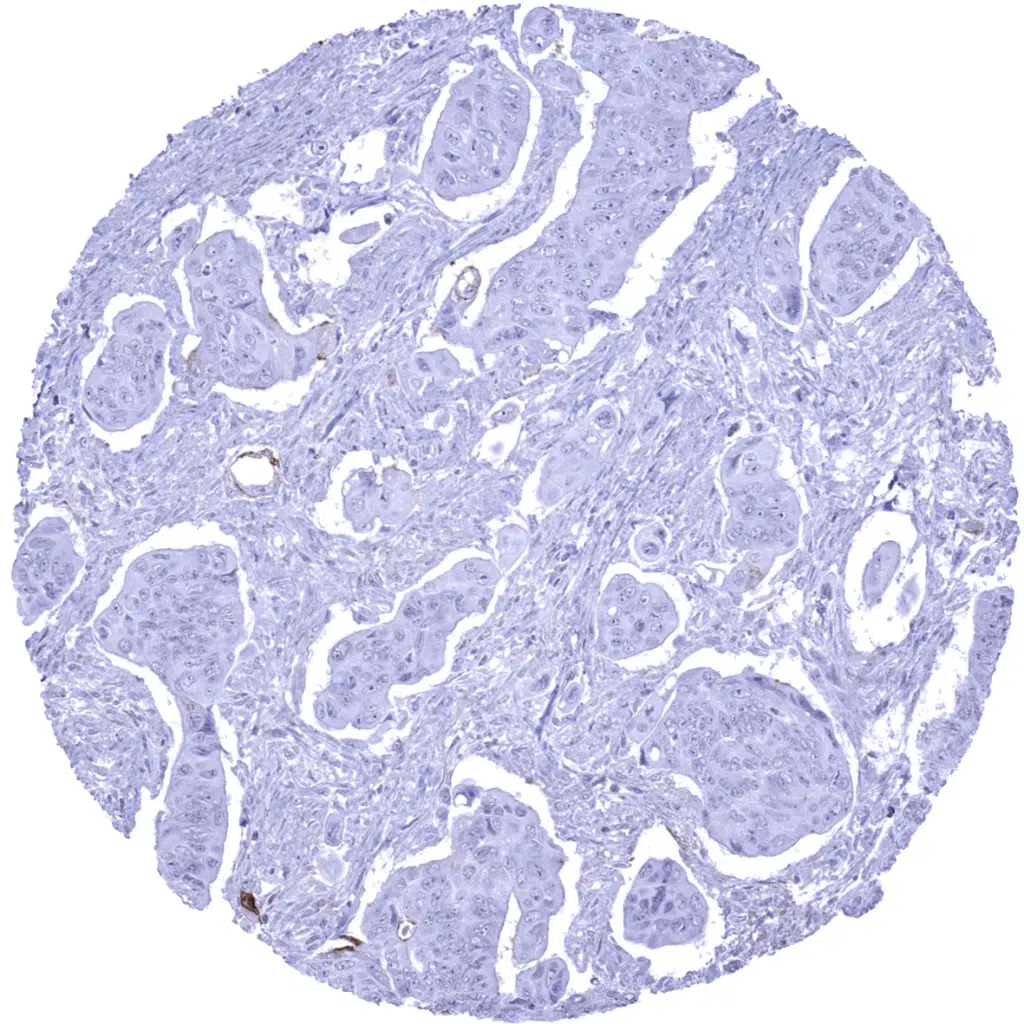
Colon- Colorectal adenocarcinoma showing a weak MUC1 EMA staining of only a few tumor cells.

Esophagus- Adenocarcinoma with strong MUC1 EMA immunostaining of tumor cells.

Esophagus- Squamous cell carcinoma with strong MUC1 EMA immunostaining of tumor cells.

Kidney- Chromophobe renal cell carcinoma with strong MUC1 EMA immunostaining of tumor cells.

       

Kidney- Clear cell renal cell carcinoma with weak to moderate MUC1 EMA immunostaining of tumor cells.

Kidney- MUC1 EMA negative clear cell renal cell carcinoma.

Kidney- Papillary renal cell carcinoma showing moderate membranous MUC1 EMA immunostaining of tumor cells.

Lung- Adenocarcinoma with a very intense cytoplasmic MUC1 EMA staining of tumor cells. In addition: Contamination staining of the tumor adjacent stroma due to the very high quantitity of MUC1 EMA protein in these tumor cells.

       

Lung- Adenocarcinoma with strong membranous and cytoplasmic MUC1 EMA immunostaining of tumor cells.

Lung- Epitheloid variant of a malignant mesothelioma with strong, predominantly membranous MUC1 EMA immunostaining of tumor cells.

Lung- Malignant mesothelioma (epitheloid variant) with strong, predominantly membranous MUC1 EMA immunostaining of tumor cells.

Lung- Small cell carcinoma with strong MUC1 EMA immunostaining of tumor cells.

       

Lymph node- Diffuse large B-cell lymphoma with a moderate MUC1 EMA immunostaining of tumor cells.

Lymph node- MUC1 EMA negative diffuse large B-cell lymphoma.

Ovary- Brenner tumor showing a weak to moderate MUC1 EMA immunostaining of tumor cells.

Ovary- Serous high-grade carcinoma with strong MUC1 EMA immunostaining of tumor cells.

       

Pancreas- Ductal adenocarcinoma showing a strong MUC1 EMA staining of tumor cells.

Pancreas- MUC1 EMA negative neuroendocrine tumor.

Penis- Squamous cell carcinoma exhibiting a strong MUC1 EMA positivity of tumor cells.

Prostate- Adenocarcinoma (Gleason 5+5=10) with strong MUC1 EMA immunostaining of tumor cells.

       

Prostate- MUC1 EMA negative adenocarcinoma (Gleason 3+3=6).

Prostate- MUC1 EMA negative small cell carcinoma.

Salivary gland- Warthin tumor showing strong MUC1 EMA positivity, especially in basal cell layers.

Soft tissue- Sarcoma NOS with MUC1 EMA immunostaining of variable intensity (weak to strong) in the majority of tumor cells.

       

Stomach- MUC1 EMA negative gastrointestinal stromal tumor (GIST).

Stomach- Gastric adenocarcinoma (diffuse type) with variable intensity MUC1 EMA immunostaining of most tumor cells.

Testis- MUC1 EMA negative seminoma.

Urinary bladder- Muscle-invasive urothelial carcinoma with strong MUC1 EMA positivity of tumor cells.

       

Uterus, cervix- Squamous cell carcinoma with strong MUC1 EMA staining in >90% of tumor cells

 

 

| TOP |