Normal Tissue Gallery- GTX04397

MUC1 antibody [MSVA-672R] HistoMAX

 

Go to Cancer Tissue Gallery
  
 Go back to product page
  

Go to HistoMAX page

 

Adrenal gland

Anal canal, skin – A weak to moderate, mostly membranous MUC1 EMA immunostaining is seen in this keratinizing squamous epithelium from the anal skin.

Aorta, media

Appendix, mucosa

       

Appendix, muscular wall

Bone marrow

Breast – A moderate to strong cytoplasmic MUC1 EMA immunostaining with apical predominance is seen in breast glands. MUC1 EMA staining may be weaker in basal cells.

Bronchus, mucosa – A variable, moderate to strong MUC1 EMA staining occurs in respiratory epithelium.

       

Bronchus, mucosa – A variable, moderate to strong MUC1 EMA staining occurs in respiratory epithelium.

Cerebellum (molecular layer, Purkinje cell layer, granule cell layer, white matter)

Cerebellum (white matter)

Cerebrum, grey matter – A weak fibrillar MUC1 EMA staining can be seen in samples from the cerebrum.

       

Cerebrum, grey matter

Cerebrum, white matter – A weak fibrillar MUC1 EMA staining can be seen in samples from the cerebrum.

Cerebrum, white matter

Colon descendens, mucosa

       

Colon descendens, muscular wall

Duodenum, Brunner gland – A weak apical membranous staining is occasionally seen in Brunner glands.

Duodenum, mucosa

Epididymis – In the epididymis the staining varies from strong diffuse cytoplasmic with apical predominance to only apical membranous staining. This sample shows a particularly strong staining.

       

Esophagus, squamous epithelium – A strong MUC1 EMA immunostaining is seen in this non-keratinizing squamous epithelium of the esophagus.

Fallopian tube, mucosa – A strong cytoplasmic MUC1 EMA immunostaining with apical predominance is seen in the epithelium of the fallopian tube.

Fat

Gallbladder, epithelium – A weak to moderate membranous MUC1 EMA staining is seen in gallbladder epithelium.

       

Heart muscle

Ileum, mucosa

Kidney, cortex – Distal tubuli and collecting ducts show a strong cytoplasmic MUC1 EMA staining while proximal tumuli are completely negative and cells of the Bowman’s capsule show weak to moderate positivity.

Kidney, medulla – A strong cytoplasmic MUC1 EMA staining is seen in collecting ducts.

       

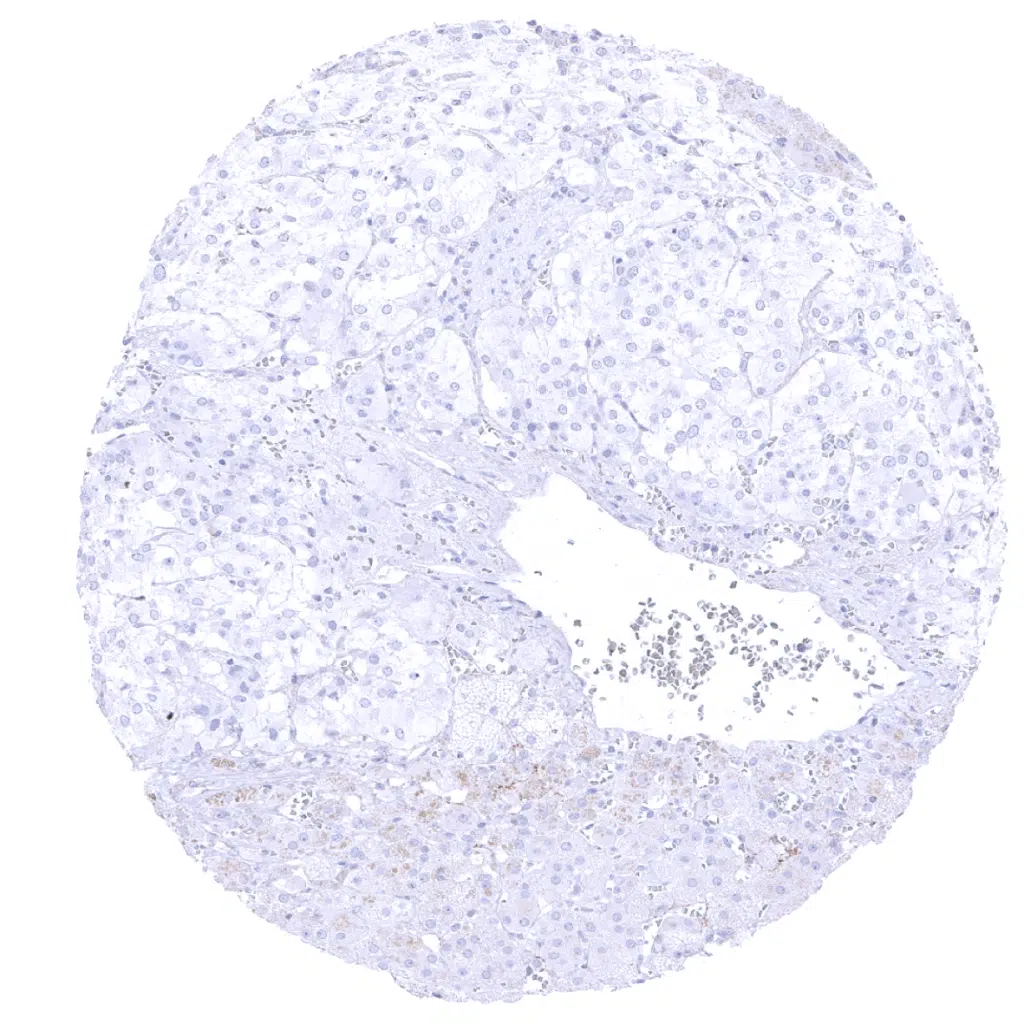
Liver – A weak to moderate, predominantly apical MUC1 EMA staining is seen in intrahepatic bile ducts, while hepatocytes are negative.

Lung – In the lung, a strong MUC1 EMA staining is seen in all pneumocytes.

Lymph node – Faint MUC1 EMA staining of few cells in the germinal centre.

Ovary, stroma

       

Pancreas – Pancreatic acinar cells show a strong MUC1 EMA immunostaining of the apical membranes and of granular (Golgi like) structures below the apical surface.

Parathyroid

Parotid gland – In salivary glands, a moderate MUC1 EMA immunostaining of apical membranes of serous glandular cells and of excretory ducts is seen.

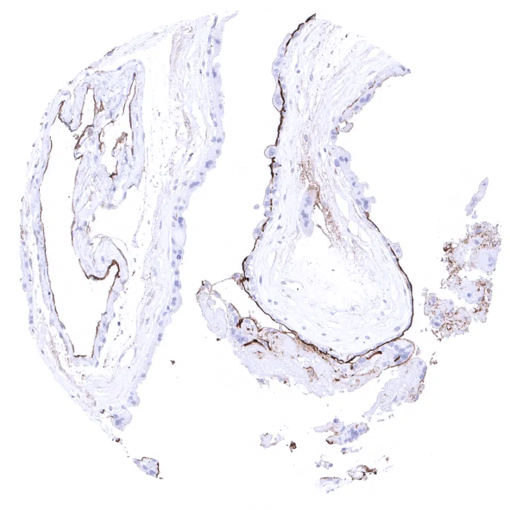
Peripheral nerves – Sheaths of peripheral nerves show moderate MUC1 EMA staining.

       

Pituitary gland, anterior lobe – In the adenohypophysis a moderate staining with apical predominance is seen in a fraction of cells/acini.

Pituitary gland, posterior lobe – A strong fibrillar MUC1 EMA staining occurs in the neurohypophsis.

Placenta (amnion and chorion) – A strong cytoplasmic staining is seen in amnion and chorion cells of the placenta.

Placenta, early – In the first trimenon, a predominantly membranous MUC1 EMA staining can occur in a fraction of trophoblastic cells.

       

Placenta, early – In the first trimenon, a predominantly membranous MUC1 EMA staining can occur in a fraction of trophoblast cells.

Placenta, early – A predominantly membranous MUC1 EMA staining can occur in a fraction of trophoblast cells, especially in the first trimenon.

Placenta, mature – In the mature placenta, a predominantly membranous MUC1 EMA staining can occur in a fraction of trophoblastic cells.

Placenta, mature – A predominantly membranous MUC1 EMA staining can occur in a fraction of trophoblast cells. In this sample, the staining is strong.

       

Prostate – MUC1 EMA immunostaining is variable in the prostate. In this sample, a weak MUC1 EMA staining of luminal cells is seen in few glands while others are completely negative.

Prostate – MUC1 EMA immunostaining is variable in the prostate. In this sample, a moderate to strong MUC1 EMA staining of luminal and basal cells is seen in a fraction of cells of some glands.

Rectum, mucosa

Seminal vesicle – A strong apical MUC1 EMA staining focally occurs in seminal vesicle epithelium.

       

Sinus paranasales – A variable, moderate to strong MUC1 EMA staining occurs in respiratory epithelium.

Skeletal muscle

Skin – MUC1 EMA immunostaining is usually absent in the skin.

Skin (sebaceous glands) – A strong MUC1 EMA immunostaining is seen in sebaceous glands, while the skin is usually MUC1 EMA negative.

       

Spleen

Stomach, antrum – Mucous producing glands of the stomach show variable, sometimes also strong MUC1 EMA positivity while the surface epithelial cells of the stomach are largely MUC1 EMA negative.

Stomach, corpus – Mucous producing glands of the stomach show a strong MUC1 EMA positivity in this sample while the surface epithelial cells are largely MUC1 EMA negative.

Testis

       

Thymus – Some elements of corpuscles of Hassall's show a weak to moderate MUC1 EMA staining.

Thyroid gland – A moderate apical MUC1 EMA staining is seen in follicles, sometimes accompanied by a moderate to strong cytoplasmic staining.

Tonsil – A fraction of squamous epithelial cells of tonsil crypts show a moderate to strong MUC1 EMA staining. Plasma cells are also MUC1 EMA positive.

Tonsil, surface epithelium – A moderate to strong MUC1 EMA immunostaining is seen in this non-keratinizing squamous epithelia of the tonsil surface. The staining is more prominent in the upper than in the basal layers

       

Urinary bladder, muscular wall

Urinary bladder, urothelium – A moderate to strong MUC1 EMA immunostaining can be seen in the urothelium. The staining is most prominent in the umbrella cells.

Uterus, ectocervix – A very faint membranous MUC1 EMA immunostaining is seen in this non-keratinizing squamous epithelium from the ectocervix.

Uterus, endocervix – A strong cytoplasmic MUC1 EMA immunostaining with apical predominance is seen in the endocervical epithelium.

       

Uterus, endometrium (pregnancy) – A strong cytoplasmic MUC1 EMA immunostaining with apical predominance is seen in the pregnant endometrium. Decidua cells are MUC1 EMA negative.

Uterus, endometrium (proliferation) – A very strong MUC1 EMA immunostaining is seen in the endometrium, where the stroma is also often MUC1 EMA positive.

Uterus, endometrium (secretion) – A very strong MUC1 EMA immunostaining is seen in the endometrium, where the stroma is also often MUC1 EMA positive.

Uterus, myometrium

       

 

| TOP |