Cancer Tissue Gallery- GTX04384

Melan A antibody [MSVA-901M+] HistoMAX

 

Go to Normal Tissue Gallery
  
 Go back to product page
  

Go to HistoMAX page

 

Adrenal gland – Adrenocortical adenoma showing diffuse strong Melan A positivity.

Adrenal gland – Adrenocortical carcinoma with diffuse Melan A positivity of all tumor cells.

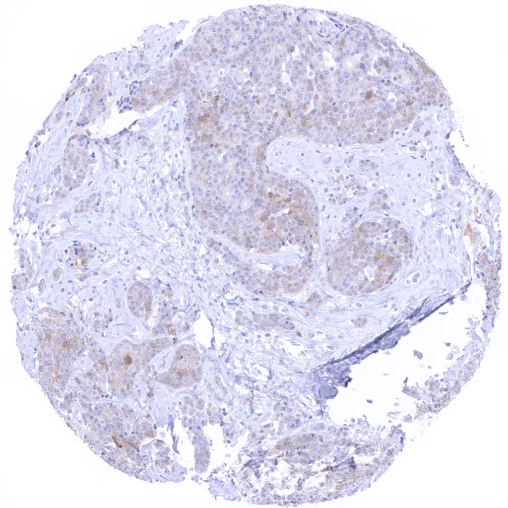
Breast – Breast cancer of no special type showing diffuse weak Melan A immunostaining.

Colon – Melan A negative colorectal adenocarcinoma.

       

Kidney – Angiomyolipoma with a strong diffuse Melan A immunostaining.

Kidney – Angiomyolipoma with a weak to moderate Melan A immunostaining also involving fat cells.

Kidney – Angiomyolipoma with a weak to moderate Melan A positivity.

Kidney – Oncocytoma with moderate Melan A immunostaining of tumor cells.

       

Pancreas – Melan A negative ductal adenocarcinoma.

Pharynx – Squamous cell carcinoma showing diffuse weak Melan A immunostaining.

Prostate – Melan A negative prostatic adenocarcinoma (Gleason 3+3=6).

Skin – Malignant melanoma displaying only a very faint (equivocal) Melan A immunostaining in about 50% of tumor cells.

       

Skin – Malignant melanoma showing diffuse strong Melan A positivity.

Skin – Malignant melanoma showing Melan A immunostaining of variable intensity in tumor cells (mosaic pattern).

Skin – Malignant melanoma with strong Melan A positivity in all tumor cells.

Skin – Melan A negative basal cell carcinoma containing numerous (non-neoplastic) melanocytes.

       

Skin – Melan A negative squamous cell carcinoma.

Urinary bladder – Muscle-invasive urinary bladder cancer showing weak to moderate Melan A immunostaining.

Urinary bladder – Muscle-invasive urinary bladder cancer with focal weak Melan A positivity.

     

 

| TOP |