Normal Tissue Gallery- GTX04384

Melan A antibody [MSVA-901M+] HistoMAX

 

Go to Cancer Tissue Gallery
  
 Go back to product page
  

Go to HistoMAX page

 

Adrenal gland – Cells of the adrenal gland show a moderate to strong Melan A immunostaining in the adrenal cortex but not in the medulla.

Adrenal gland – In the adrenal gland, a moderate to strong Melan-A+ immunostaining is seen in cortical but not medullary cells.

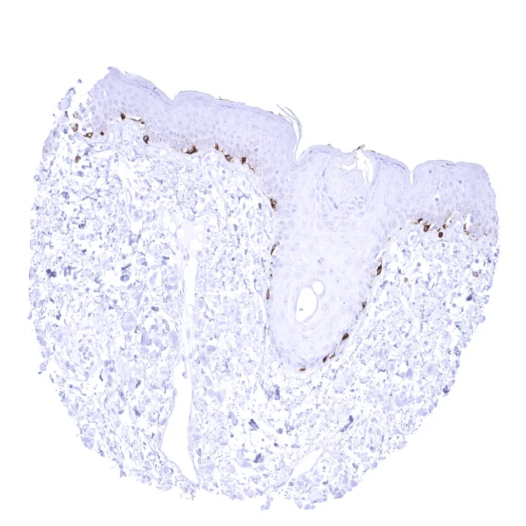
Anal canal, skin – A strong Melan-A immunostaining is seen in melanocytes of anal skin.

Aorta, media

       

Appendix, mucosa

Appendix, muscular wall

Bone marrow

Breast

       

Bronchus, mucosa – A faint immunostaining can be seen at the apical membranes of a fraction of ciliated cells of respiratory epithelium (not in all samples).

Bronchus, mucosa

Cerebellum (molecular layer, Purkinje cell layer, granule cell layer, white matter)

Cerebellum (granule cell layer, white matter)

       

Cerebrum, grey matter

Cerebrum, white matter

Colon descendens, mucosa

Colon descendens, muscular wall

       

Duodenum, Brunner gland

Duodenum, mucosa

Ectocervix

Endocervix

       

Endometrium, proliferation

Endometrium, secretion

Epididymis

Esophagus, squamous epithelium

       

Fallopian tube, mucosa

Fat

Gallbladder, epithelium

Heart

       

Ileum, mucosa

Kidney, cortex

Kidney, medulla

Lip, oral mucosa – In the oral mucosa of the lip, a moderate to strong Melan-A immunostaining can be seen in few melanocytes.

       

Liver

Lung

Lymph node

Ovary, stroma – In the ovary, a moderate intensity Melan A staining is seen in theca interna cells of ovary.

       

Ovary, stroma

Pancreas

Parathyroid

Parotid gland

       

Pituitary gland, anterior lobe – In the adenohypophysis, a moderate to strong Melan A immunostaining can be seen in scattered epithelial cells (not in all samples).

Pituitary gland, anterior lobe

Pituitary gland, posterior lobe

Pregnant uterus (decidua)

       

Placenta, early

Placenta (amnion and chorion)

Placenta, mature

Prostate

       

Rectum, mucosa

Seminal vesicle

Sinus paranasales – A faint immunostaining can be seen at the apical membranes of a fraction of ciliated cells of respiratory epithelium (not in all samples).

Skin – In the skin, a strong Melan-A immunostaining is seen in melanocytes.

       

Spleen

Stomach, antrum

Stomach, corpus

Striated muscle

       

Testis – A weak to moderate Melan A immunostaining can be seen in a fraction of Leydig cells of the testis.

Thymus

Thyroid gland

Tonsil, surface epithelium

       

Tonsil

Urinary bladder, muscular wall

Urinary bladder, urothelium

Uterus, myometrium

       

 

| TOP |