Cancer Tissue Gallery- GTX04430

PAX8 antibody [MSVA-708R] HistoMAXTM

 

Go to Normal Tissue Gallery
  
 Go back to product page
  

Go to HistoMAX page

 

Adrenal gland – PAX8 negative adrenocortical adenoma

Adrenal gland – PAX8 negative adrenocortical carcinoma

Adrenal gland – PAX8 negative pheochromocytoma

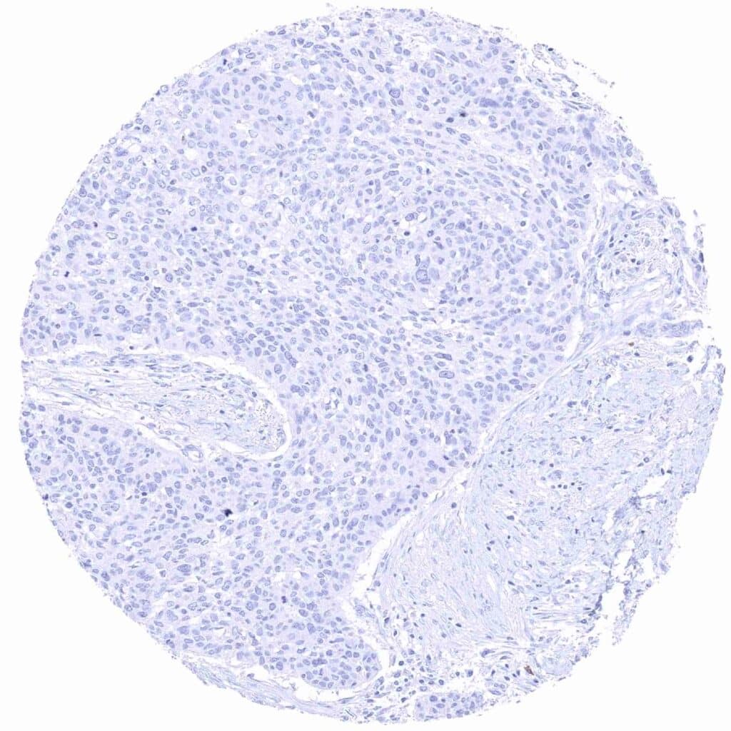
Anal canal – PAX8 negative squamous cell carcinoma

       

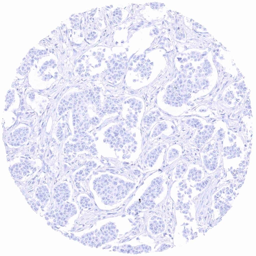
Breast – PAX8 negative invasive breast cancer of no special type (NST)

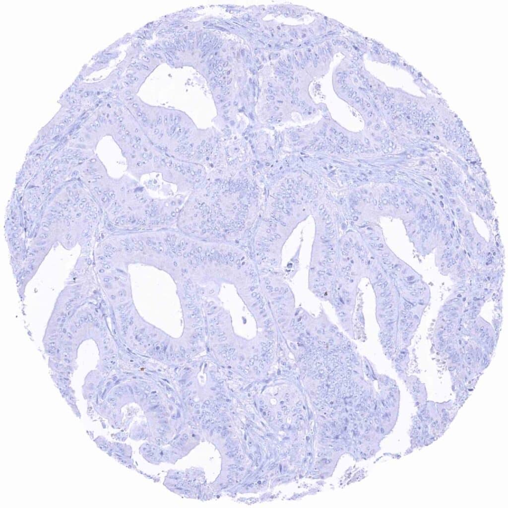
Colon – PAX8 negative colorectal adenocarcinoma

Esophagus – PAX8 negative adenocarcinoma

Esophagus – PAX8 negative squamous cell carcinoma

       

Kidney – Chromophobe renal cell carcinoma with moderate PAX8 staining of tumor cells

Kidney – Clear cell renal cell carcinoma with moderate PAX8 positivity of tumor cells

Kidney – Oncocytoma with moderate PAX8 staining of tumor cells

Kidney – Papillary renal cell carcinoma with strong PAX8 immunostaining of tumor cells

       

Liver – PAX8 negative cholangiocellular carcinoma

Liver – PAX8 negative hepatocellular carcinoma

Lung – PAX8 negative adenocarcinoma

Lung – PAX8 negative squamous cell carcinoma

       

Lymph node – PAX8 negative diffuse large B-cell lymphoma

Lymph node – PAX8 negative Hodgkin’s lymphoma

Ovary – Brenner tumor with strong PAX8 immunostaining of tumor cells

Ovary – Clear cell carcinoma with strong PAX8 staining of tumor cells

       

Ovary – Endometroid carcinoma with strong PAX8 positivity of tumor cells

Ovary – Mucinous carcinoma with moderate PAX8 positivity of tumor cells

Ovary – Serous high-grade carcinoma with strong PAX8 staining of tumor cells

Pancreas – PAX8 negative ductal adenocarcinoma

       

Pancreas – PAX8 negative neuroendocrine tumor

Prostate – PAX8 negative adenocarcinoma (Gleason 3+3=6)

Prostate – PAX8 negative adenocarcinoma (Gleason 5+5=10)

Salivary gland – PAX8 negative Warthin tumor

       

Soft tissue – PAX8 negative leiomyosarcoma

Stomach – PAX8 negative gastric adenocarcinoma

Stomach – PAX8 negative gastrointestinal stromal tumor (GIST)

Testis – PAX8 negative seminoma

       

Thyroid – Anaplastic carcinoma with strong PAX8 immunostaining of tumor cells

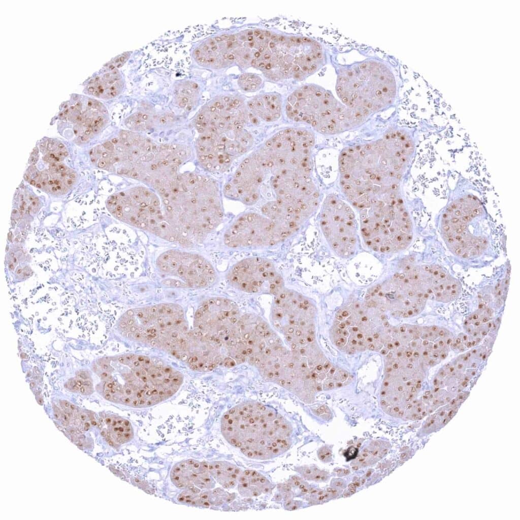
Thyroid – Follicular cancer with strong PAX8 positivity of tumor cells

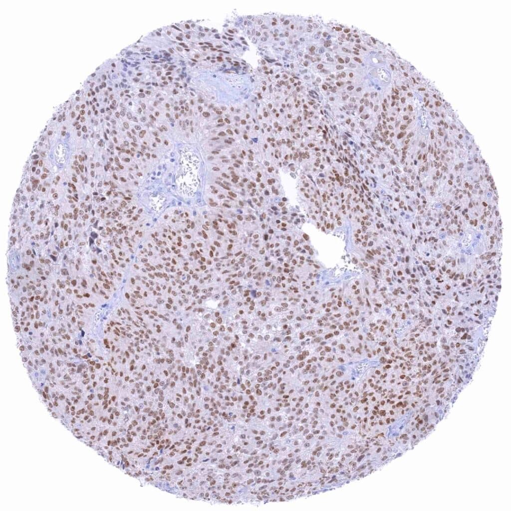
Thyroid – Papillary cancer with strong PAX8 immunostaining of tumor cells

Thyroid – PAX8 negative medullary carcinoma showing numerous intermingled PAX8 positive normal thyreocytes

       

Thyroid – PAX8 negative medullary carcinoma

Urinary bladder – Non-invasive urothelial carcinoma (low grade, pTaG2) with moderate PAX8 staining of tumor cells

Urinary bladder – PAX8 negative muscle-invasive urothelial carcinoma

Urinary bladder – PAX8 negative non-invasive papillary urothelial carcinoma (pTa)

       

Uterus – Cervical adenocarcinoma with strong PAX8 immunostaining of tumor cells

Uterus – Endometroid endometrium carcinoma with strong PAX8 immunostaining of tumor cells

Uterus, cervix – PAX8 negative adenocarcinoma

Vagina – PAX8 negative squamous cell carcinoma

       

 

| TOP |