Normal Tissue Gallery- GTX04430

PAX8 antibody [MSVA-708R] HistoMAXTM

 

a
Go to Cancer Tissue Gallery
  
 Go back to product page
  

Go to HistoMAX page

 

Adrenal gland – Complete lack of PAX8 staining

Aorta, media

Appendix, mucosa

Appendix, muscular wall

       

Bone marrow

Breast

Bronchus, mucosa

Cerebellum (molecular layer, Purkinje cell layer, granule cell layer)

       

Cerebellum (white matter)

Cerebrum, grey matter

Cerebrum, white matter

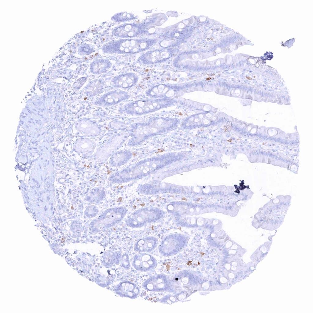
Colon descendens, mucosa

       

Colon descendens, muscular wall

Duodenum, Brunner gland

Duodenum, mucosa

Epididymis – Strong nuclear PAX8 staining of epithelial cells in the cauda epididymis

       

Epididymis – Variable, weak to strong nuclear PAX8 staining of epithelial cells in the cauda epididymis

Esophagus, squamous epithelium

Fallopian tube, mucosa – Strong PAX8 staining of a subset of epithelial cells of the fallopian tube

Fat

       

Gallbladder, epithelium – A faint (non-specific) and purely cytoplasmic PAX8 staining can occur in stomach glands

Heart muscle

Ileum, mucosa

Kidney, cortex – Variable, weak to strong nuclear PAX8 staining of cells of proximal and distal tubuli as well as of parietal epithelial cells of the Bowman’s capsule

       

Kidney, medulla – Variable, weak to strong nuclear PAX8 staining of epithelial cells of the collecting ducts

Kidney, pelvis, urothelium – A weak to moderate PAX8 staining can occur in basal and suprabasal cell layers of the urothelium of the kidney pelvis

Liver

Lung

       

Lymph node

Ovary, corpus luteum

Ovary, follicular cyst

Ovary, stroma

       

Pancreas – Absence of PAX8 staining in acinar and islet cells

Pancreas – Complete lack of PAX8 staining in acinar and in islet cells

Parathyroid gland – Complete lack of PAX8 staining

Parotid gland

       

Pituitary gland, anterior lobe – A weak to moderate (non-specific) and purely cytoplasmic PAX8 staining can occur in a fraction of epithelial cells

Pituitary gland, anterior lobe

Pituitary gland, posterior lobe

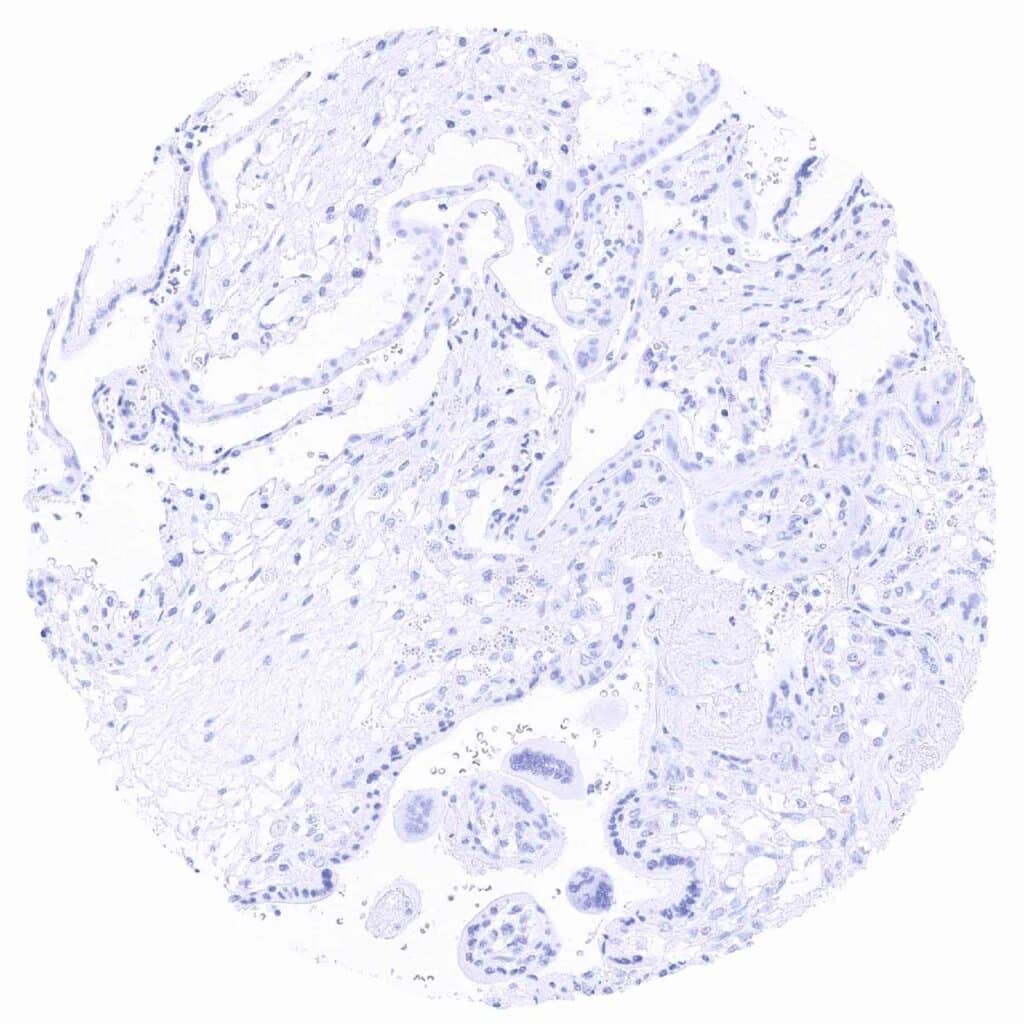
Placenta (amnion and chorion)

       

Placenta, early

Placenta, mature

Prostate

Prostate

       

Rectum, mucosa

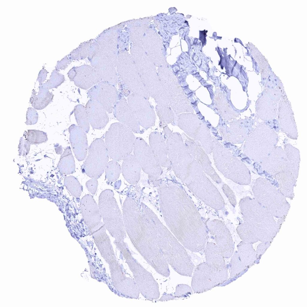
Skeletal muscle

Skin

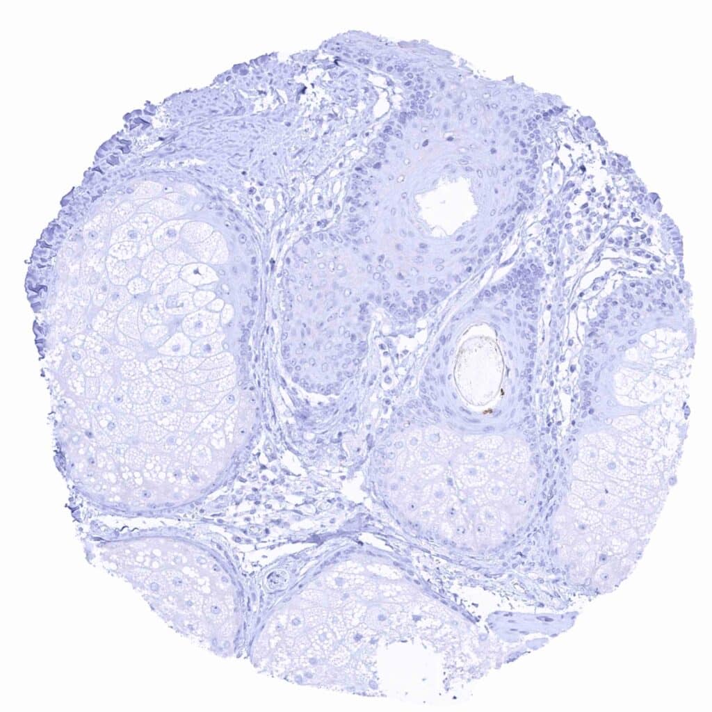
Skin, hairfollicel and sebaceous glands

       

Spleen

Stomach, antrum

Stomach, corpus – A faint (non-specific) and purely cytoplasmic PAX8 staining can occur in stomach glands

Stomach, corpus – A faint (non-specific) and purely cytoplasmic PAX8 staining can occur in stomach glands

       

Testis

Thymus

Thyroid gland – Strong, predominantly nuclear PAX8 staining of all epithelial cells

Tonsil, surface epithelium

       

Tonsil

Urinary bladder, muscular wall

Urinary bladder, urothelium – PAX8 staining is usually completely absent in urothelium of the urinary bladder

Urinary bladder, urothelium – PAX8 staining is usually lacking in urothelium of the bladder

       

Uterus, ectocervix

Uterus, endocervix – Strong nuclear PAX8 staining of all epithelial cells

Uterus, endometrium (pregnancy) – Strong PAX8 staining of endometrium cells while stroma and decidua cells remain negative

Uterus, endometrium (proliferation) – Strong nuclear PAX8 staining of all endometrium cells. Stroma cells are always negative

       

Uterus, endometrium (proliferation) – Variable, weak to strong nuclear PAX8 staining of endometrium cells

Uterus, endometrium (secretion) – Weak to moderate PAX8 staining of most endometrium cells

Uterus, endometrium (secretion) – Strong nuclear PAX8 staining of all endometrium cells

Uterus, myometrium

       

 

| TOP |