Cancer Tissue Gallery- GTX639929

Thymidylate synthase antibody [HMV305] HistoMAXTM

 

Go to Normal Tissue Gallery
  
 Go back to product page
  

Go to HistoMAX page

 

Adrenal gland – Pheochromocytoma with faint TYMS staining of only very few tumor cells

Adrenal gland – TYMS negative adrenocortical adenoma

Breast – Invasive breast cancer of no special type (NST) with weak TYMS staining of few tumor cells

Breast – TYMS negative invasive lobular breast cancer

       

Colon – Colorectal adenocarcinoma with strong TYMS staining of more than 50_ of tumor cells

Colon – TYMS negative colorectal adenocarcinoma. TYMS staining is only seen in some inflammatory cells

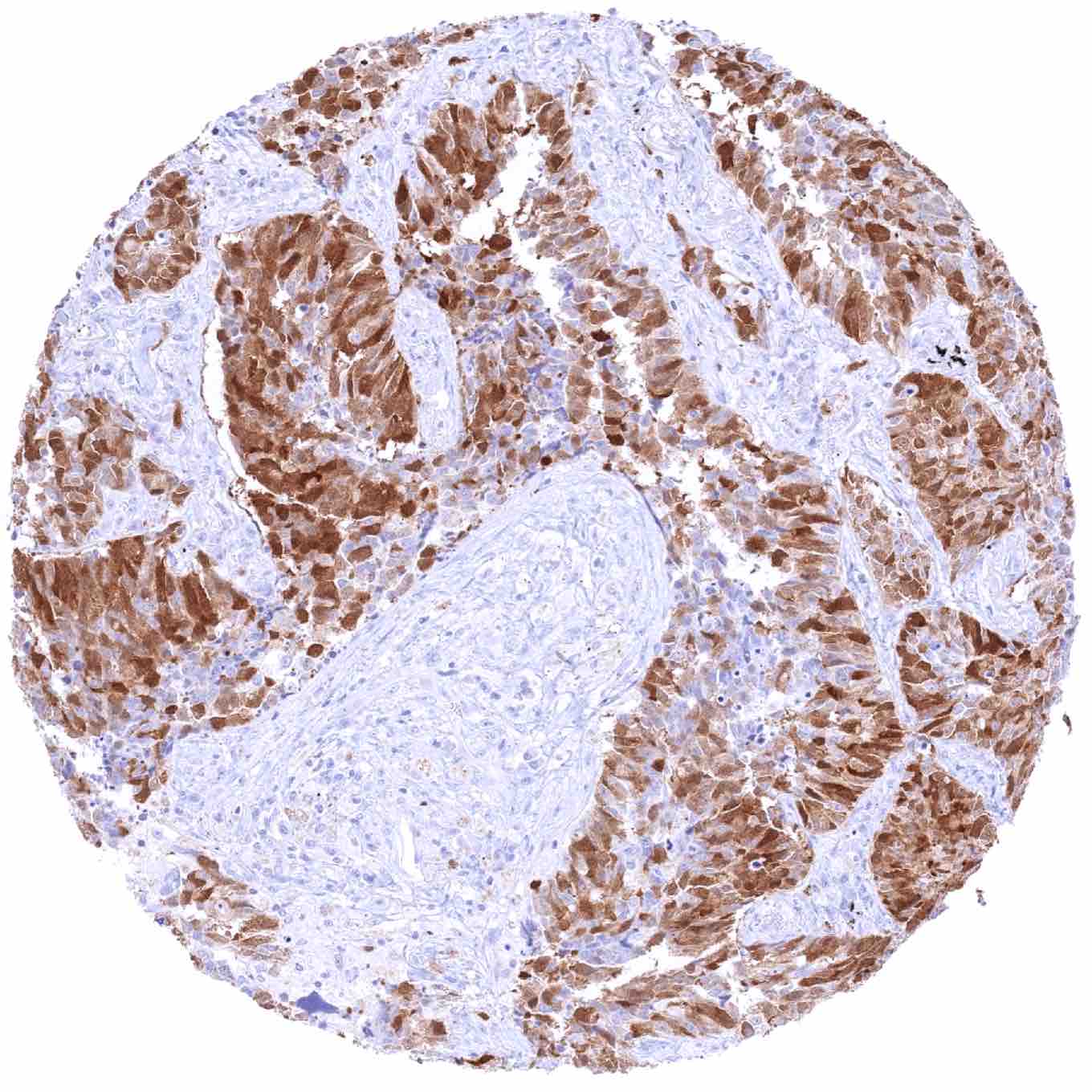
Esophagus – Adenocarcinoma with moderate to strong TYMS immunostaining of most tumor cells

Esophagus – Squamous cell carcinoma with strong TYMS positivity of most tumor cells

       

Gallbladder – Neuroendocrine carcinoma with strong TYMS positivity of most tumor cells

Kidney – TYMS negative clear cell carcinoma

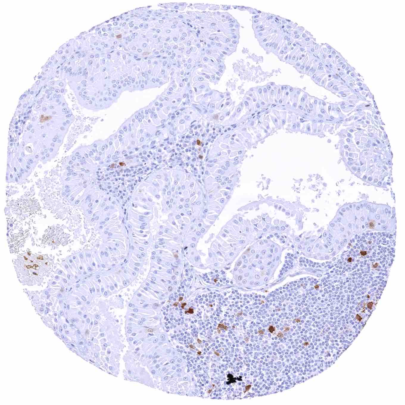
Kidney – TYMS negative papillary renal cell carcinoma

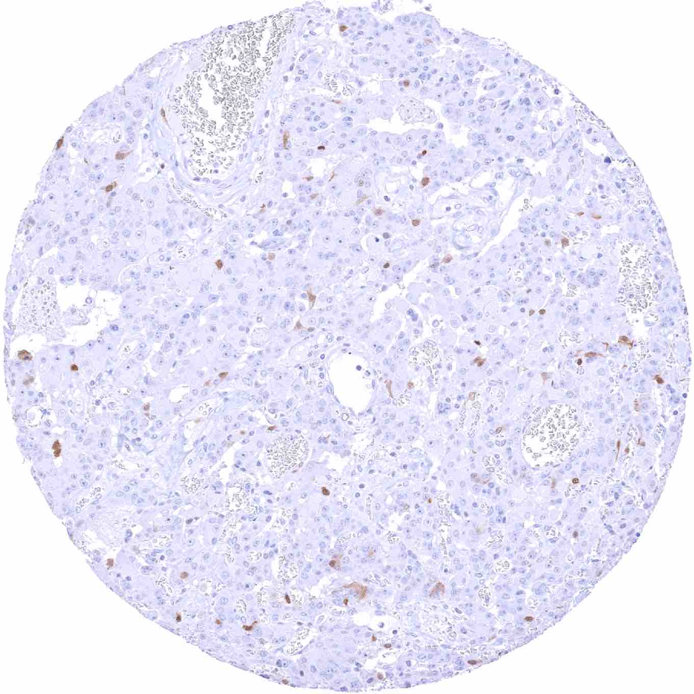
Liver – Cholangiocellular carcinoma with faint TYMS staining of only very few tumor cells

       

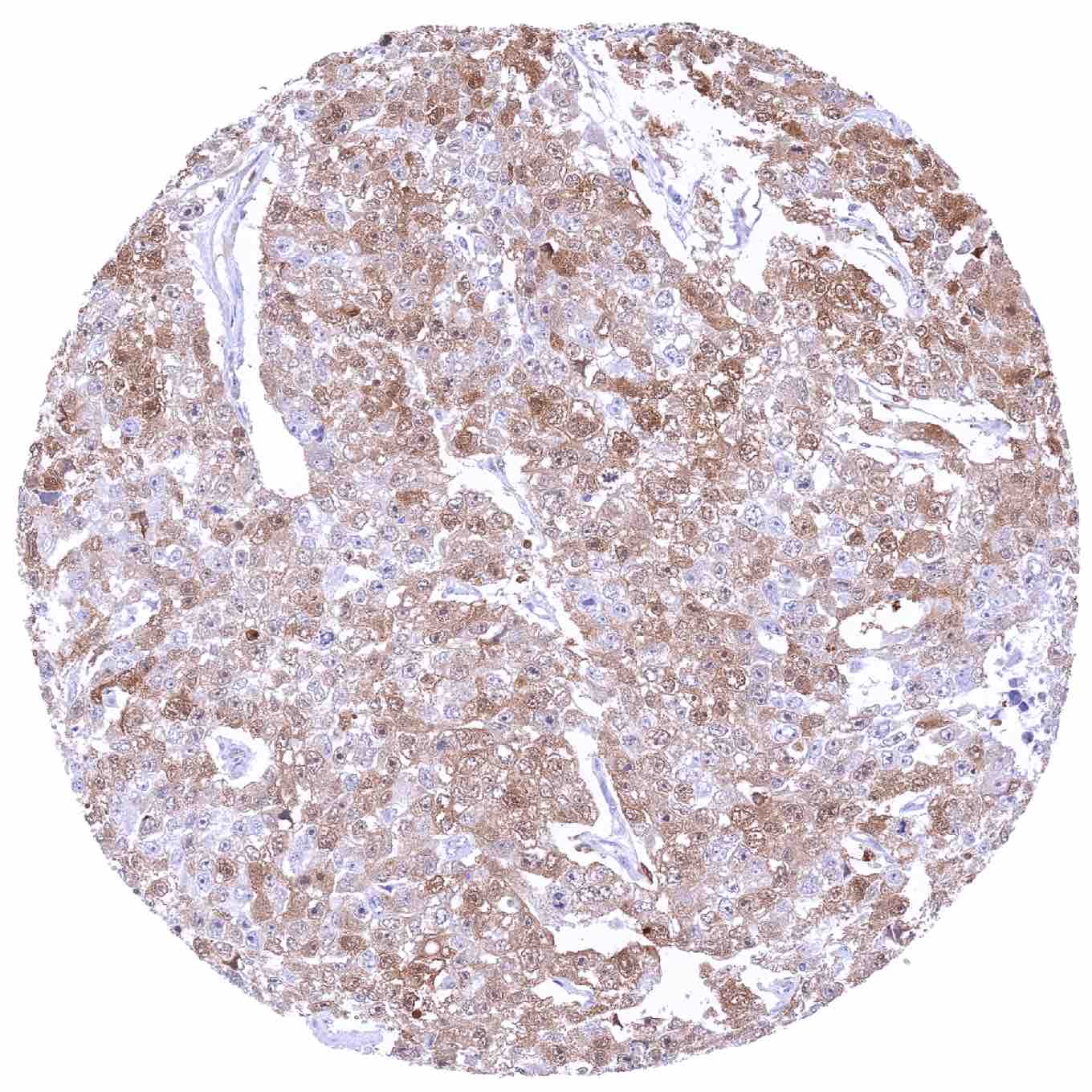
Liver – Hepatocellular carcinoma with highly variable, weak to strong TYMS staining of _60_ of tumor cells

Lung – Adenocarcinoma with strong TYMS immunostaining of about 50_ of tumor cells

Lung – Large cell neuroendocrine carcinoma with strong TYMS staining of a large fraction of tumor cells

Lung – Squamous cell carcinoma with strong TYMS staining of most tumor cells of the peripheral cell layers

       

Lung – TYMS negative malignant mesothelioma (epitheloid)

Lymph node – Diffuse large B-cell lymphoma with moderate to strong TYMS staining of a subset of tumor cells

Lymph node – Diffuse large B-cell lymphoma with variable, weak to strong TYMS staining of almost all tumor cells

Lymph node – Hodgkin’s lymphoma with variable, weak to strong TYMS staining of a subset of tumor cells. A fraction of non-neoplastic cells are also TYMS positive

       

Lymph node – Hodgkin’s lymphoma with weak to moderate TYMS immunostaining of tumor cells. TYMS staining is also seen in many inflammatory cells

Lymph node – TYMS negative B-CLL. TYMS positivity appears to be limited to a small subset of non-neoplastic lymphocytic cells

Lymph node – TYMS negative tumor cells in a Hodgkin’s lymphoma. TYMS positivity is only seen in a small subset of non-neoplastic cells

Ovary – Serous high-grade carcinoma with moderate to strong TYMS staining of a subset of tumor cells

       

Ovary – Serous high-grade carcinoma with weak to moderate TYMS staining of a fraction of tumor cells

Pancreas – Neuroendocrine tumor with weak TYMS staining of few tumor cells. TYMS staining is also seen in some inflammatory cells

Pancreas – TYMS negative ductal adenocarcinoma

Pancreas – TYMS negative neuroendocrine tumor. TYMS staining only occurs in some inflammatory cells

       

Penis – Squamous cell carcinoma with moderate to strong TYMS immunostaining of almost all tumor cells

Penis – Squamous cell carcinoma with strong TYMS staining of of most cells of the peripheral tumor cell layers. TYMS staining also occurs in some inflammatory cells

Pharynx – Squamous cell carcinoma with moderate to strong TYMS staining of most tumor cells

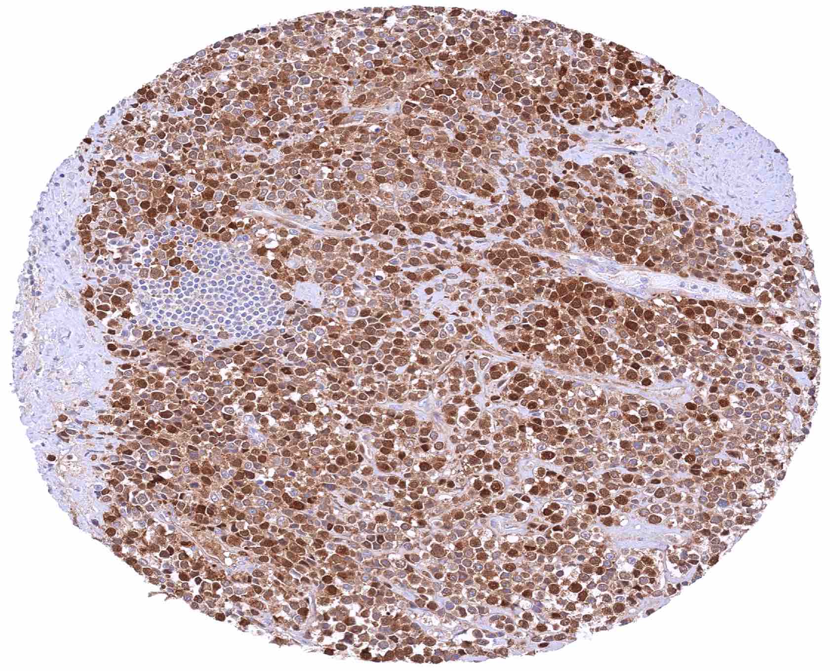
Prostate – Adenocarcinoma (Gleason 5+5=10) with strong TYMS staining of tumor cells

       

Prostate – TYMS negative adenocarcinoma (Gleason 3+3=6)

Salivary gland – TYMS negative Warthin tumor. TYMS staining is seen in some lymphoid cells

Skin – Malignant melanoma with strong TYMS positivity of more than half of the tumor cells

Skin – TYMS negative basal cell carcinoma

       

Soft tissue – Rhabdomyosarcoma showing a moderate to strong TYMS staining of all tumor cells

Soft tissue – TYMS negative leiomyosarcoma

Stomach – Gastric adenocarcinoma (diffuse type) with weak to moderate TYMS staining of a fraction of tumor cells

Stomach – Gastric adenocarcinoma (intestinal type) with weak to strong TYMS staining of about half of the tumor cells

       

Stomach – Gastrointestinal stromal tumor (GIST) with strong TYMS staining of a scattered tumor cells

Stomach – TYMS negative gastrointestinal stromal tumor (GIST)

Testis – Embryonal carcinoma with moderate TYMS positivity of most tumor cells

Testis – TYMS negative seminoma. TYMS staining is only seen in some inflammatory cells

       

Thyroid – Anaplastic carcinoma with strong TYMS immunostaining of most tumor cells

Thyroid – TYMS negative medullary carcinoma

Thyroid – TYMS negative papillary carcinoma

Urinary bladder – Muscle-invasive urothelial carcinoma with moderate to strong TYMS staining of most tumor cells

       

Urinary bladder – Muscle-invasive urothelial carcinoma with strong TYMS immunostaining of a subset of tumor cells

Urinary bladder – Sarkomatoid carcinoma with moderate to strong TYMS staining of all tumor cells

Urinary bladder – TYMS negative muscle-invasive urothelial carcinoma

     

 

| TOP |