13 Search results for
NP_000034
Product
Images
Description
Applications
Reactivity
Price
-
$419100μl
-
$419100μl$16925μl
-
$419100μg
-
$419100μg
-
$4191ml
-
$30910μg
-
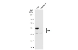
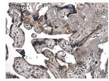
Description Mouse MonoclonalApplications IHC-P FCMReactivity HuSummary This antibody recognizes a functional epitope of Fas molecule.
$419100μg -
$569100μg
-
Description Mouse MonoclonalApplications FCMReactivity HuSummary This antibody recognizes a functional epitope of Fas molecule.
$329100test -
Description Mouse MonoclonalApplications FCMReactivity HuSummary This antibody recognizes a functional epitope of Fas molecule.
$299100test
Recombinant antibody
KO/KD