11 Search results for
NP_001020537
Product
Images
Description
Applications
Reactivity
Price
-
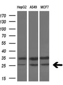
Description Rabbit MonoclonalApplications WB ICC/IFReactivity Hu, Ms, Cat, DogSummary This antibody is specific for human VEGFA protein, and it does not cross react with human VEGFB protein.
$419100μl$16925μl -
$419100μl$16925μl
-
Description Mouse MonoclonalApplications WB ICC/IF IHC-P IHC-Fr FCM ELISAReactivity Hu, Ms, Rat, Zfsh, DogSummary This antibody is specific to a cluster of proteins between 19-22 kDa (reduced).
$419250μl -
$519100μl
-
$419100μl$16925μl
-
$419100μl$16925μl
-
$519100μl
-
Description Mouse MonoclonalApplications WB IHC-PReactivity HuSummary This antibody was selected for its ability to detect human VEGF165b. This antibody showed no cross-reactivity with rhVEGF206.
$56950μg -
$30910μg
-
$26910μg
Recombinant antibody
Orthogonal
Overexpression