12 Search results for

NP_001900

Product
Images
Description
Applications
Reactivity
Price
  • Anti-Cathepsin D antibody [GT1232] used in Western Blot (WB). GTX01540
    Description Rabbit Monoclonal
    Applications WB IHC-P
    Reactivity Hu, Ms
    $419
    100μl
  • Anti-Cathepsin D antibody used in Western Blot (WB). GTX133019
    Description Rabbit Polyclonal
    Applications WB ICC/IF
    Reactivity Hu, Ms
    $419
    100μl
    $169
    25μl
  • Description Rabbit Polyclonal
    Applications WB
    Reactivity Hu
    $419
    100μl
    $169
    25μl
  • Anti-Cathepsin D antibody used in IHC (Paraffin sections) (IHC-P). GTX56269
    Description Rabbit Polyclonal
    Applications WB IHC-P
    Reactivity Hu
    $419
    100μl
  • Anti-Cathepsin D Light chain antibody used in Western Blot (WB). GTX56271
    Description Rabbit Polyclonal
    Applications WB
    Reactivity Hu, Ms, Rat
    $419
    100μl
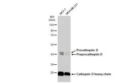
  • Anti-Cathepsin D Heavy chain antibody used in Western Blot (WB). GTX56270
    Description Rabbit Polyclonal
    Applications WB
    Reactivity Hu, Ms, Rat
    $419
    100μl
  • Description Mouse Monoclonal
    Applications WB IHC-P ELISA
    Reactivity Hu

    Summary Cathepsins are lysosomal proteases that play an important role in the intracellular degradation of exogenous and endogenous proteins, in activation of enzyme precursors, and in tumor invasion and metastasis. They are normally localized in lysosomes of almost all mammalian cells, but under certain conditions they can be secreted from the cells.Cathepsin D (CD, EC 3.4.23.5), an aspartyl endopeptidase, is induced by estrogen in certain estrogen receptor (ER)-positive breast cancer cell lines, but is produced constitutively by ER-negative cell lines. Cathepsin D is synthesized as a 52 kDa inactive precursor (pro-cathepsin D). Proteolytic removal of the amino-terminal 43 amino acid fragment and cleavage at an internal site results in an enzymatically active 48 kDa heterodimer consisting of two chains of 14 and 34 kDa.The level of CD synthesized by cells is increased in response to mitogenic signals from estrogen, EGF, FGF, and IGF- I. The ability of tumor cells to invade the extracellular matrix has been attributed to cathepsins released by tumor cells or associated with the plasma membrane of tumor cells. CD is capable of digesting extracellular matrix proteins in in vivo models. Transfection of the CD gene into rat cells increases their tumorigenicity when injected into nude mice. Indeed, the concentrations of CD are significantly higher in breast carcinomas than in either normal breast tissues or benign breast tumors.

    $419
    100μl
  • Anti-Cathepsin D (cleaved Gly65) antibody used in Western Blot (WB). GTX86884
    Description Rabbit Polyclonal
    Applications WB
    Reactivity Mk

    Summary Cathepsin D (cleaved Gly65) antibody detects endogenous levels of fragment of activated CATD resulting from cleavage adjacent to Gly65.

    $419
    100μg
  • Anti-Cathepsin D (cleaved Leu169) antibody used in Western Blot (WB). GTX86942
    Description Rabbit Polyclonal
    Applications WB
    Reactivity Hu

    Summary Cathepsin D (cleaved Leu169) antibody detects endogenous levels of fragment of activated CATD resulting from cleavage adjacent to Leu169.

    $419
    100μg
  • Description Rabbit Polyclonal
    Applications IHC-P IHC-Fr
    Reactivity Hu

    Summary This antibody reacts with the zymogen as well as the activated form of cathepsin D.

    $419
    250μl
prev next