9 Search results for
NP_004955
Product
Images
Description
Applications
Reactivity
Price
-
$419100μl
-
$419100μl$16925μl
-
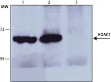
Description Rabbit PolyclonalApplications WB ICC/IF IHC-P IHC-Fr IHC-Wm IP ChIP assayReactivity Hu, Ms, Rat, ZfshSummary KO/KD validation is based on published data (PMID: 27065869 and 30242288).
$419100μl$16925μl -
Description Rabbit PolyclonalApplications WB ICC/IF IHC-P IPReactivity Hu, Ms, RatSummary Solution in 0.01 M phosphate bufffered saline, pH 7.4, containing 15 mM sodium azide.
$41950μl -
Description Rabbit PolyclonalApplications WB ELISAReactivity Hu, Ms, RatSummary HDAC1 antibody is predicted to not cross-react with other members of the HDAC family.
$439100μg -
$419100μg
-
$419100μl
-
$31910μg
-
Description Mouse MonoclonalApplications WB IP ELISAReactivity Hu, Ms$429100μl
Recombinant antibody
KO/KD
Orthogonal
Overexpression