4 Search results for
25686830
Product
Images
Description
Applications
Reactivity
Price
-
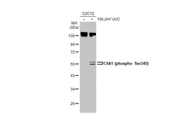
Description Rabbit PolyclonalApplications WB IHC-P IHC-Fr IP DotReactivity Hu, Ms, RatSummary IP/MS validation is based on published data (PMID: 30377401).
$419100μl$16925μl -
Description Rabbit PolyclonalApplications WB ICC/IF IHC-P IHC-Fr IPReactivity Hu, Ms, Rat, Pig, Japanese MedakaSummary KO/KD validation is based on customer review data. IP/MS validation is based on published data (PMID: 30377414).
$419100μl$16925μl -
$419100μl$16925μl
-
$419100μl$16925μl
KO/KD
Orthogonal
IP/MS
Overexpression