7 Search results for
31527793
Product
Images
Description
Applications
Reactivity
Price
-
$1491ml
-
Description Mouse MonoclonalApplications WB ICC/IF IHC-P EMSAReactivity Hu, Ms, Rat, Zfsh, Yeast, Dm, Dog, Hm, Pig, Mk, C. albicans, E. coli, Chinese Hamster$419100μl$16925μl -
$419100μl$16925μl
-
$1491ml
-
Description Mouse MonoclonalApplications WB ICC/IF IHC-P IP ChIP assay IHCReactivity Hu, Ms, Rat, Hm, MkSummary KO/KD validation is based on published data (PMID: 25296641).
$419100μl -
$419100μl
-
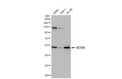
Description Mouse MonoclonalApplications WB IHC-PReactivity HuSummary KO/KD validation is based on published data (PMID: 35694846).
$419100μl$16925μl
Orthogonal
KO/KD
Overexpression