7 Search results for
NP_002730
Product
Images
Description
Applications
Reactivity
Price
-
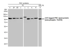
Description Rabbit MonoclonalApplications WB ICC/IF IHC-PReactivity Hu, Ms, Rat, Dm$419100μl$16925μl -
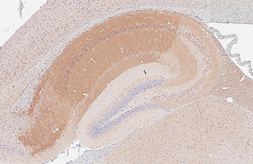
Description Rabbit MonoclonalApplications WB IHC-PReactivity Hu, Ms, RatSummary Highly recommended for IHC-P in mouse tissues.
This antibody is specific for human PKC gamma protein, and it does not cross react with human PKC alpha, PKC beta 1, PKC beta 2, PKC delta, PKC epsilon, PKC zeta, PKC eta, and PKC theta protein.
$419100μl$16925μl -
$419100μl$16925μl
-
Description Rabbit MonoclonalApplications WB ICC/IF IHC-FrReactivity Hu, Ms, RatSummary This antibody is specific for human PKC gamma protein, and it does not cross react with human PKC alpha, PKC beta 1, PKC beta 2, PKC delta, PKC epsilon, PKC zeta, PKC eta, and PKC theta protein.
$419100μl$16925μl -
$419100μl
-
$419100μl$16925μl
-
$419100μl
Recombinant antibody
Orthogonal