18 Search results for
NP_005598
Product
Images
Description
Applications
Reactivity
Price
-
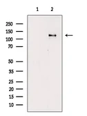
Description Rabbit MonoclonalApplications WBReactivity Hu, Ms, Rat$419100μl$16925μl -
$419100μl$16925μl
-
Description Rabbit PolyclonalApplications WB ICC/IF IHC-Fr IP ChIP assayReactivity Hu, Ms, Rat, Zfsh, Dm, Cat, Dog, Chk, Amph, RMK, Xenopus, Fish$41950μl -
$419100μl
-
$419100μl
-
$419100μl
-
$419100μl
-
$419100μl
-
$419100μl
-
$419100μl
Recombinant antibody
KO/KD
Orthogonal
Overexpression