6 Search results for
21078624
Product
Images
Description
Applications
Reactivity
Price
-
$419100μl$16925μl
-
$419100μl$16925μl
-
$419100μl$16925μl
-
$419100μl$16925μl
-
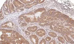
Description Rabbit PolyclonalApplications ICC/IF IHC-FrReactivity Ms$419100μl$16925μl
-
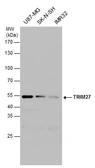
Description Rabbit PolyclonalApplications ICC/IFReactivity Ms$419100μl$16925μl
KO/KD
Orthogonal
Comparison