7 Search results for
26850699
Product
Images
Description
Applications
Reactivity
Price
-
$419100μl$16925μl
-
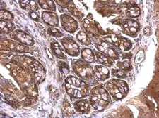
Description Rabbit PolyclonalApplications WB IHC-P IHC-Fr ELISA Sandwich ELISAReactivity Hu, Ms, Rat$419100μl$16925μl -
$419100μl$16925μl
-
$419100μl$16925μl
-
$419100μl$16925μl
-
$419100μl$16925μl
-
Description Rabbit PolyclonalApplications WBReactivity Hu$419100μl$16925μl
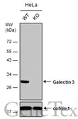
KO/KD
Orthogonal
Overexpression