15 Search results for

NP_005337

Product
Images
Description
Applications
Reactivity
Price
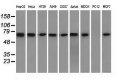
  • Anti-Hsp70 antibody [HL1580] used in Western Blot (WB). GTX637059
    Description Rabbit Monoclonal
    Applications WB ICC/IF IHC-P
    Reactivity Hu, Ms, Rat, Cat, Dog
    $419
    100μl
    $169
    25μl
  • Anti-Hsp70 antibody [HL1581] used in Western Blot (WB). GTX637060
    Description Rabbit Monoclonal
    Applications WB IHC-P
    Reactivity Hu, Cat
    $419
    100μl
    $169
    25μl
  • Anti-Hsp70 antibody [3A3] used in Western Blot (WB). GTX25439
    Description Mouse Monoclonal
    Applications WB ICC/IF IHC-P FCM IP ELISA Gel supershift assays IHC Neutralizing /Inhibition
    Reactivity Hu, Ms, Rat, Yeast, Dm, Pig, Mk, Amph, Echinoderms, Plant, Fish, Arthropod, Mollusc, Primate, Avian, Insect

    Summary This antibody detects several members of the heat shock protein 70 kDa (HSP70) gene family including HSP70, HSC70, p75, and following heat shock, HSP72 from yeast, Drosophila, fish, porcine, plant, mouse, avian, arthropod (red claw crayfish and black tiger prawn), amphibian, non-human primate, and human samples. Epitope mapping with a panel of HSP70 deletion mutants suggests that the epitope recognized is located between amino acids 504-617 of human HSP70, a region that has been shown to be involved in stress-induced nucleolar localization.

    $419
    50μl
  • Anti-Hsp70 antibody used in IHC (Whole mount) (IHC-Wm). GTX112963
    Description Rabbit Polyclonal
    Applications WB ICC/IF IHC-P IHC-Wm
    Reactivity Hu, Ms, Rat, Zfsh
    $419
    100μl
    $169
    25μl
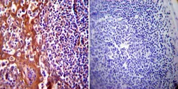
  • Anti-Hsp70 antibody [2A4] used in IHC (Paraffin sections) (IHC-P). GTX25442
    Description Mouse Monoclonal
    Applications WB ICC/IF IHC-P IP Neutralizing /Inhibition
    Reactivity Hu, Ms, Rat, Zfsh, Yeast, Dm, Amph, Fish, Primate, Avian

    Summary This antibody detects several members of the heat shock protein 70 kDa (HSP70) gene family including HSP70, HSC70 and, following heat shock, HSP72 from yeast, Drosophila, fish, mouse, avian, amphibian and human samples. Epitope mapping with a panel of HSP70 deletion mutants suggests that the epitope recognized is located between amino acids 437-479 of human HSP70.

    $419
    100μl
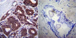
  • Anti-Hsp70 antibody [5A5] used in IHC (Paraffin sections) (IHC-P). GTX22787
    Description Mouse Monoclonal
    Applications WB ICC/IF IHC-P IHC-Fr IP ELISA Gel supershift assays IHC Neutralizing /Inhibition
    Reactivity Hu, Ms, Rat, Yeast, Rb, Dm, Bov, Amph, Fish, Mollusc, Flatworm, Avian

    Summary This antibody detects several members of the heat shock protein 70 kDa (HSP70) gene family including HSP70, HSC70, GRP78, and following heat shock, HSP72. It is the first monoclonal antibody reported to react with the ATP binding region of HSP70 and an epitope in the amino terminus of HSP70.

    $419
    250μl
  • Anti-Hsp70 antibody [5F3] used in Western Blot (WB). GTX84340
    Description Mouse Monoclonal
    Applications WB ICC/IF FCM
    Reactivity Hu, Ms, Dog, Mk
    $519
    100μl
  • Anti-Hsp70 antibody [1B2] used in IHC (Paraffin sections) (IHC-P). GTX84337
    Description Mouse Monoclonal
    Applications WB IHC-P
    Reactivity Hu, Dog, Mk
    $519
    100μl
  • Anti-Hsp70 antibody [3C6] used in Western Blot (WB). GTX84338
    Description Mouse Monoclonal
    Applications WB ICC/IF IHC-P FCM
    Reactivity Hu, Dog, Mk

    Summary This antibody is able to recognize Hsp70 protein , which includes HSPA1A and HSPA1B protein.

    $509
    100μl
  • Anti-Hsp70 antibody [2C12] used in IHC (Paraffin sections) (IHC-P). GTX84341
    Description Mouse Monoclonal
    Applications WB ICC/IF IHC-P
    Reactivity Hu, Dog, Mk
    $519
    100μl
prev next