10 Search results for
NP_061820
Product
Images
Description
Applications
Reactivity
Price
-
$419100μl$16925μl
-
$419100μl$16925μl
-
$419100μl$16925μl
-
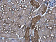
Description Mouse MonoclonalApplications WB IHC-P FCMReactivity Hu, Ms, Rat, Dm, Dog, Frg, Hrs, PgnSummary This antibody recognizes an epitope within amino acids 93-104 of pigeon Cytochrome C.
$529100μg -
$419100μl$16925μl
-
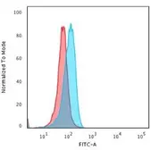
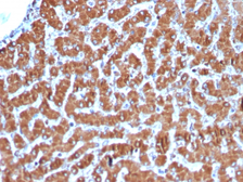
Description Rabbit MonoclonalApplications WB ICC/IF IHC-P FCMReactivity Hu, Ms, Rat, Dm, Dog, Frg, Hrs, PgnSummary This antibody recognizes both apocytochrome (i.e. cytochrome in the cytosol without heme attached) and holocytochrome (i.e. cytochrome in the mitochondria with heme attached).
$529100μg -
Description Mouse MonoclonalApplications WB ICC/IF IHC-P FCMReactivity Hu, Ms, Rat, Dm, Dog, Frg, Hrs, Pgn$529100μg -
$419100μl
-
$529100μg
-
Description Mouse MonoclonalApplications WB IHC-PReactivity Hu, Ms, Rat, Dm, Dog, Frg, Hrs, PgnSummary This antibody recognizes an epitope within amino acids 93-104 of pigeon Cytochrome C.
$529100μg
Recombinant antibody
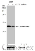
KO/KD
Orthogonal