NP_002743
-
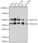
Description Rabbit PolyclonalApplications WB ICC/IF IHC-P IHCReactivity Hu, Ms, Rat, P. xylostellaSummary This antibody may cross with JNK1 or JNK3.
$419100μl$16925μl -
$419100μg
-
Description Rabbit PolyclonalApplications WB ICC/IFReactivity Hu, RatSummary This antibody is raised against JNK1/2 phosphorylated at Thr183/Tyr185. Based on sequence homology, it is predicted to react with JNK3 when phosphorylated at the corresponding residues - Thr221/Tyr223.
$459100μl -
$419100μl
-
$419100μl
-
$469100μg
-
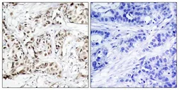
Description Rabbit PolyclonalApplications WB ICC/IF IHC-PReactivity Hu, Ms, RatSummary This antibody is raised against JNK1/2 phosphorylated at Thr183. Based on sequence homology, it is predicted to react with JNK3 when phosphorylated at the corresponding residues - Thr221.
$419100μl -
$419100μl
-
Description Rabbit PolyclonalApplications WB IHC-PReactivity HuSummary This antibody is raised against JNK1/2 phosphorylated at Thr183. Based on sequence homology, it is predicted to react with JNK3 when phosphorylated at the corresponding residues - Thr221.
$419100μl -
Description Rabbit PolyclonalApplications WBReactivity Hu, Ms, Rat
Summary This antibody is raised against JNK1/2 phosphorylated at Thr183/Tyr185. Based on sequence homology, it is predicted to react with JNK3 when phosphorylated at the corresponding residues - Thr221/Tyr223.
$439200μg
Overexpression
Orthogonal
KO/KD