NP_620637
-
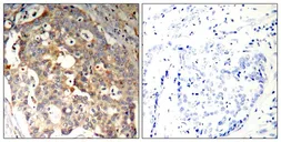
Description Rabbit MonoclonalApplications WB IHC-PReactivity Hu, Ms, RatSummary This antibody detects JNK1/2/3 when dually phosphorylated at Thr183 and Tyr185, and singly phosphorylated at Thr183.
$419100μl$16925μl -
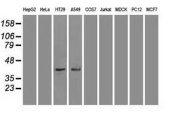
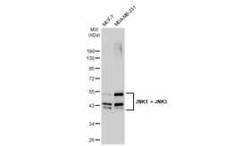
Description Rabbit MonoclonalApplications WB ICC/IF IHC-PReactivity Hu, Ms, RatSummary This antibody can detect JNK1 and JNK3 protein, and it does not cross react with JNK2 protein based on internal testing.
$419100μl -
$419100μg
-
$419100μl$16925μl
-
$419100μl$16925μl
-
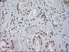
Description Rabbit PolyclonalApplications WB ICC/IFReactivity Hu, RatSummary This antibody is raised against JNK1/2 phosphorylated at Thr183/Tyr185. Based on sequence homology, it is predicted to react with JNK3 when phosphorylated at the corresponding residues - Thr221/Tyr223.
$459100μl -
$519100μl
-
$519100μl
-
$519100μl
-
$419100μl
Recombinant antibody
Comparison
Orthogonal
Overexpression