8 Search results for
31258504
Product
Images
Description
Applications
Reactivity
Price
-
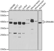
Description Mouse MonoclonalApplications WB ICC/IF IHC-P EMSAReactivity Hu, Ms, Rat, Zfsh, Yeast, Dm, Dog, Hm, Pig, Mk, C. albicans, E. coli, Chinese Hamster$419100μl$16925μl -
$419100μl$16925μl
-
Description Rabbit PolyclonalApplications WB ICC/IF IHC-P ELISA Sandwich ELISAReactivity Hu, Ms, Rat, Allg, Bird$419100μl$16925μl -
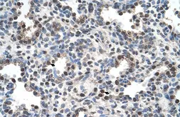
Description Rabbit PolyclonalApplications WB IHC-P IHC-Fr IHC-Wm IPReactivity Hu, Ms, Rat, ZfshSummary KO/KD validation is based on customer review data.
$419100μl$16925μl -
$419100μl$16925μl
-
$419100μl$16925μl
-
$419100μl
-
$419100μg
Orthogonal
KO/KD