29 Search results for
NP_000624
Product
Images
Description
Applications
Reactivity
Price
-
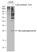
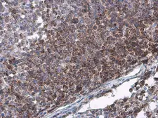
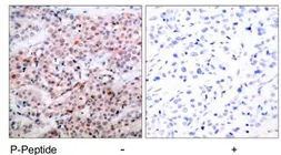
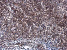
Description Rabbit PolyclonalApplications WB ICC/IF IHC-PReactivity Hu, Ms, Rat, Cat, DogSummary We do not recommend use of this product for Zebrafish.
$419100μl$16925μl -
$459100μl
-
$419100μl$16925μl
-
$419100μl$16925μl
-
$419100μl
-
$419100μl$16925μl
-
$439100μg
-
$419100μl$16925μl
-
$419100μl$16925μl
-
$41950μg
Comparison
Orthogonal
Overexpression
Recombinant antibody