11 Search results for
NP_001789
Product
Images
Description
Applications
Reactivity
Price
-
Description Rabbit MonoclonalApplications WB IHC-PReactivity Hu, Ms, Rat, DmSummary Based on internal testing, this antibody may cross react with CDK1 (CDC2), CDK3, and CDK5 proteins when phosphorylated at tyrosine 15.
$419100μl$16925μl -
CDK1 / CDC2 (phospho Thr161) + CDK2 (phospho Thr160) + CDK3 (phospho Thr160) antibody [HL3648] GTX641639
Description Rabbit MonoclonalApplications WBReactivity Hu$419100μl$16925μl -
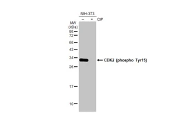
Description Rabbit MonoclonalApplications WBReactivity Hu, Ms, RatSummary Based on internal testing, this antibody may cross react with CDK1 (CDC2), CDK3, and CDK5 proteins when phosphorylated at tyrosine 15.
$419100μl$16925μl -
$419100μl$16925μl
-
Description Rabbit PolyclonalApplications WBReactivity HuSummary Based on sequence homology, this antibody may cross react with CDK1 (CDC2), CDK3, and CDK5 proteins when phosphorylated at tyrosine 15.
$419100μl$16925μl -
$419100μg
-
$419100μl
-
$419100μg
-
$419100μl
-
$38950μg
Recombinant antibody
Orthogonal
KO/KD