20 Search results for
NP_004085
Product
Images
Description
Applications
Reactivity
Price
-
$419100μl$16925μl
-
$419100μl
-
$419100μl$16925μl
-
$519100μl
-
$419100μl$16925μl
-
$419100μl
-
Description Rabbit PolyclonalApplications WB ICC/IF IHC (Free Floating)Reactivity Hu, Ms, Rat, Yeast, Dm, Cat, Chk, C. elegans, Primate$41950μl -
$519100μl
-
$519100μl
-
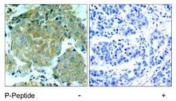
Description Rabbit PolyclonalApplications WBReactivity Hu, Ms, Rat$419100μl$16925μl
Recombinant antibody
Orthogonal
Overexpression