17 Search results for
NP_004172
Product
Images
Description
Applications
Reactivity
Price
-
Description Rabbit MonoclonalApplications WB IHC-P IHC-FrReactivity Hu, Ms, RatSummary This antibody may not be suitable for rat IHC-P assay, as its rat reactivity is based on WB testing.
$419100μl$16925μl -
$419100μl$16925μl
-
Description Rabbit MonoclonalApplications WB IHC-PReactivity Hu, Ms, RatSummary This antibody may not be suitable for mouse / rat IHC-P assay, as its mouse / rat reactivity is based on WB testing.
$419100μl$16925μl -
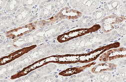
Description Rabbit MonoclonalApplications IHC-PReactivity HuSummary Highly recommended for IHC-P in human tissues. Autostainer protocol information available
$679500μl$299100μl -
$419100μl$16925μl
-
$419100μl$16925μl
-
$419100μl$16925μl
-
$529100μg
-
$529100μg
-
$419100μl
Recombinant antibody
Orthogonal
HistoMAX
KO/KD