27461108
-
Description Rabbit PolyclonalApplications WB ICC/IF IHC-P IHC-Fr IPReactivity Hu, Ms, Rat, Yeast, Sheep, Dm, Cat, Dog, Hm, Chk, Pig, Mk, C. elegans, C. albicans, E. coli, Hrs, Mosq, Rice, Xenopus, Treeshrew, Plant, WormSummary IP/MS validation is based on published data (PMID: 30377395).
$419100μl$16925μl -
Description Rabbit PolyclonalApplications WB ICC/IF IHC-PReactivity Hu, Ms, Rat, Cat, DogSummary We do not recommend use of this product for Zebrafish.
$419100μl$16925μl -
$419100μl$16925μl
-
$419100μl$16925μl
-
$419100μl$16925μl
-
Description Rabbit PolyclonalApplications WB ICC/IF IHC-P FCM IP Dot ELISA MultiplexingReactivity Hu, Ms, Rat, Bov, Hm, PigSummary Some class-specific anti-collagens may be specific for three-dimensional epitopes which may result in diminished reactivity with denatured collagen or formalin-fixed, paraffin embedded tissues. This antibody reacts with most mammalian Type I collagens and has expected cross-reactivity with Type III and negligible cross reactivity with Type II, IV, V or VI collagens.
$419100μg -
$419100μl$16925μl
-
$419100μl$16925μl
-
$419100μl$16925μl
-
$419100μl$16925μl
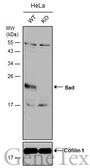
KO/KD
Orthogonal
IP/MS
Comparison
Overexpression