9 Search results for
31614639
Product
Images
Description
Applications
Reactivity
Price
-
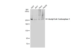
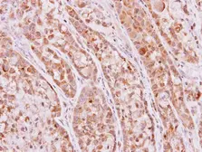
Description Rabbit PolyclonalApplications WB ICC/IF IHC-P IPReactivity Hu, Ms, Rat, Dm, Golden Syrian HamsterSummary IP/MS validation is based on published data (PMID: 30377373).
$419100μl$16925μl -
$419100μl$16925μl
-
$419100μl$16925μl
-
$419100μl$16925μl
-
$419100μl$16925μl
-
$419100μg
-
$419100μl$16925μl
-
$419100μl$16925μl
-
$419100μl$16925μl
Orthogonal
IP/MS
KO/KD