NP_001609
-
Description Rabbit MonoclonalApplications WB ICC/IF IHC-P FCM IPReactivity HuSummary Highly recommended for IHC-P in human tissues.
This antibody is specific for human PARP1 protein, and it does not cross react with human PARP2 and PARP3 protein.
$419100μl$16925μl -
Description Rabbit PolyclonalApplications WB ICC/IF IHC-P IP ChIP assayReactivity Hu, Ms, RatSummary This antibody is specific for human PARP1 protein, and it does not cross react with human PARP2 and PARP3 protein.
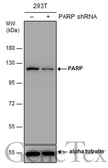
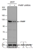
KO/KD validation is based on published data (PMID: 27626929).$419100μl$16925μl -
Description Rabbit MonoclonalApplications WB ICC/IF IHC-P FCM IPReactivity Hu, MsSummary This antibody may not be suitable for mouse IHC-P assay, as its mouse reactivity is based on WB testing.
It is specific for human PARP1 protein, and it does not cross react with human PARP2 and PARP3 protein.
$419100μl$16925μl -
Description Rabbit MonoclonalApplications WB IHC-PReactivity Hu, Ms, PigSummary This antibody is specific for cleaved PARP (~25kDa). It does not recognize full-length (~116kDa) and the large fragment (~89 kDa).
$419100μl -
$419100μl
-
Description Rabbit PolyclonalApplications WB ICC/IF IHC-P FCM IP ChIP assayReactivity Hu, MsSummary This antibody is specific for human PARP1 protein, and it does not cross react with human PARP2 and PARP3 protein.
IP/MS validation is based on published data (PMID: 30377409).$419100μl$16925μl -
Description Rabbit PolyclonalApplications WB ICC/IF IHC-P IP ChIP assayReactivity Hu, RatSummary IP/MS validation is based on published data (PMID: 30377408).
$419100μl$16925μl -
Description Mouse MonoclonalApplications WB IHC-P IPReactivity Hu, Ms, RatSummary This antibody is specific for human PARP1 protein, and it does not cross react with human PARP2 and PARP3 protein.
IP/MS validation is based on published data (PMID: 30377422).$419100μl$16925μl -
Description Mouse MonoclonalApplications WB ICC/IF IPReactivity HuSummary This antibody is specific for human PARP1 protein, and it does not cross react with human PARP2 and PARP3 protein.
IP/MS validation is based on published data (PMID: 30377429).$419100μl$16925μl -
Description Rabbit PolyclonalApplications WB ICC/IF FCM IPReactivity HuSummary This antibody detects both full-length PARP as well as the cleaved PARP fragment.
$419100μl$16925μl
Recombinant antibody
KO/KD
Comparison
Orthogonal
Overexpression
IP/MS